anti-infectives
Update
on Fourth-Generation Fluoroquinolones:
A Clinical Perspective
Research compares the two therapies
to earlier drugs ... and each other.
The fluoroquinolone antibiotics were first introduced for the treatment of systemic infection in the 1980s. It wasn't until 1990 that the first commercially available topical fluoroquinolone (ciprofloxacin 0.3%, [Ciloxan, Alcon)] was released, followed by ofloxacin 0.3% (Ocuflox, Allergan) in 1996. The FDA approved fourth-generation fluoroquinolones gatifloxacin 0.3% (Zymar, Allergan) and moxifloxacin 0.5% (Vigamox, Alcon) in 2003.
A running start
As a result of their great efficacy against ulcerative keratitis, the fluoroquinolones emerged as the most commonly prescribed antibiotics for treating and prophylaxing against ocular infections.1-2
However, there were growing concerns that overuse of these antibiotics could result in microbial resistance.3-4 By 1997, resistance rates to Staphylococcus aureus organisms increased to 35% for both ciprofloxacin and ofloxacin. In 2001, studies show a widespread decline in susceptibility to all the older generation fluoroquinolones in a survey of bacteria isolated from cases of conjunctivitis, blepharitis, keratitis and endophthalmitis, including a 100% resistance to S. aureus endophthalmitis isolates.5-6
Fluoroquinolones block bacterial DNA synthesis by inhibiting the topoisomerase enzymes either DNA gyrase (topoisomerase II) for gram-positive organisms, or topoisomerase IV enzyme for gram-negative organisms.7-8 These are very effective for gram-negative bacteria, for which the fluoroquinolones had very strong binding properties to the DNA gyrase enzyme. As a result, we have seen virtually no resistance develop to the gram-negative organisms. The opposite was true for many of the gram-positive organisms treated by the older fluoroquinolones. Instead of strong binding properties at its target site (topoisomerase IV), the older drugs had weak binding properties, resulting in growing resistance to gram-positive organisms due to the ease in which single-step mutations occurred.
Old versus new
The fourth generation fluoroquinolones gatifloxacin and moxifloxacin differ from the older generation fluoroquinolones in that both drugs have an 8-methoxy group (OCH3) attached to their basic ring structure. The addition of the OCH3 group has resulted in a greater binding affinity to the topoisomerase IV enzyme, which resulted in enhanced activity against gram-positive pathogens and anaerobes, while also maintaining excellent potency against gram-negative organisms. In addition, the fourth-generation fluoroquino-lones also have a dual-binding mechanism that targets both DNA gyrase and topoisomerase IV in both gram-positive and gram-negative bacteria. While the older generation drugs targeted one enzyme or the other, the fourth generations target both enzymes. This is significant because for bacteria to development resistance, they must undergo two simultaneous mutations at both of these sites.
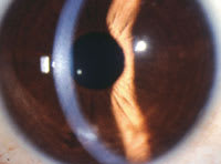
|
|
| This soft lens wearer's ulcer was caused by Pseudomonas bacteria. |
How does the fourth generation compare with older generation fluoroquinolones? The MIC90 (minimum inhibitory concentration of anti-infective needed to inhibit growth of 90% of bacteria strains) represents the median concentration necessary to inhibit most of the tested bacterial isolates. It is considered to be the standard used to compare antibiotics.9 The lower an antibiotic's MIC90 value, the more potent it is against a given isolate.
One study compared in-vitro susceptibility patterns and MIC values of both gatifloxacin (GAT) and moxifloxacin (MOX) with the older generation fluoroquinolones: ciprofloxacin (CIP), ofloxacin (OFX), and levoflox-acin (Iquix and Quixin, Vista-kon) (LEV)) against bacterial keratitis isolates.10 The fourth- generation fluoroquinolones demonstrated increased susceptibility for Staphylococcus aureus isolates that were resistant to CIP, LEV and OFX.
In another study, researchers retrospectively looked at in vitro susceptibility patterns and potency of the fourth-generation compared with the older generation fluoroquinolones against 18 bacterial endophthalmitis isolates that were resistant to ciprofloxa-cin and ofloxacin. The resistant isolates included Staphylococcus aureus and coagulase-negative Staphylococcus. Findings showed that organisms resistant to cipro-floxacin and ofloxacin were also resistant to levofloxacin, but not to gatifloxacin and moxifloxa-cin, which showed lower MIC90 values.11
A new ball game
Clearly, the development of the fourth-generation fluoroquinolones represents an important breakthrough in treating and prophylaxing against ocular infections. But how do the two fourth-generation fluoroquino-lones compare with each other? Gatifloxacin 0.3% and moxifloxacin 0.5% are structurally very similar and have improved activity against gram-positive organisms, in addition to excellent potency against gram-negative organisms. Both are FDA-approved to treat bacterial conjunctivitis. Gatifloxacin is formulated with 0.005% benzalkonium chloride (BAK) and comes in a lower concentration 0.3%, versus 0.5% moxifloxacin, which does not have BAK. There are also differences in the pH levels of each. Moxifloxacin has a pH of 6.8 compared with gatifloxa-cin's 6.0. A normal tear pH is around 7.5 so moxifloxacin's higher pH may allow it be more soluble. Gatifloxacin has been approved for 37 different pathogens, versus 43 for moxifloxacin.
Direct comparison of both drugs shows equivalent susceptibilities for all the bacterial groups except Staphylococcal aureus organisms. Moxifloxacin has three times lower MIC values and greater susceptibility against S. aureus.
In general for most gram-positive bacteria, moxifloxacin demonstrated lower MICs, but differences between the two drugs were not significant. For gram-negative organisms, however, gatifloxacin is significantly more potent with two to six times lower MICs. Against pseudomonas, gatifloxacin has two times lower MICs than moxifloxacin. Gatifloxacin was more potent against Haemophilus and Moraxella species.
For atypical organisms, which are more commonly seen in refractive surgery patients, gatifloxacin has been shown to be more potent, particularly against mycobacterium isolates, for which it has a four fold reduction in the MIC's compared to moxifloxacin.
Looking closer
Published MIC data is based on systemic breakpoints and is determined utilizing only the pure drug and not the commercial preparation, which may contain other ingredients such as a preservative. When these drugs are tested in their commercial preparations, the true affect of the drug may be different. One recent study evaluated the antimicrobial activity of gatiflox-acin with and without BAK against ocular bacterial patho-gens.13 Results showed the MIC values of gatifloxacin in the presence of BAK (50ppm) were substantially lower than MICs for gatifloxacin alone, indicating that the BAK in gatifloxacin appears to have a synergistic effect.
Another study compared the in-vitro antimicrobial efficacy of preserved gatifloxacin with nonpreserved moxifloxacin against various species of Staphylococcus.14 Gatifloxacin 0.3% produced more complete killing, with a more rapid antimicrobial effect than moxifloxacin 0.5%, in all strains of Staphylococcus in the study, despite the fact that moxifloxacin's low MIC is considered more potent against staphylococcus species. Investigators concluded that the commercial formulation of gatifloxacin with BAK showed more rapid and complete killing of the test organisms compared with nonpreserved moxifloxacin, despite the higher concentration of that antibiotic. BAK 0.005% also showed significant bacterial killing activity against staphylococcus strains, indicating that the preserved antibiotic may act as a combination agent. Interestingly, in pseudomonas, the BAK had no additive effect.
The fine lines
There are a limited number of human studies published looking at the toxicity of these drugs on the ocular surface. In the animal model, several studies have shown that
|
|
| The same patient after treatment with fortified antibiotics resolved the problem. |
moxifloxacin had more corneal toxicity and slowed corneal wound healing both in the epithelium and in the stroma, compared with gatifloxacin.15-17 One human study compared the two fourth-generation fluoroquinolones' effects on rates of reepithelialization after penetrating keratoplasty at various times after surgery.18 At postoperative day four and day seven, the gatifloxacin-treated eyes had a quantitatively smaller epithelial defect than the moxifloxacin-treated eyes, suggesting that moxifloxacin may actually be more toxic, just as many of the animal model studies indicated. At all other visits during the study, the author found no statistical differences between the two drugs. This is similar to what another group reported in their series of patients undergoing PRK.19 They found that on days three through six, a greater percentage of patients in the gatifloxacin and BAK group was completely healed, compared with the moxifloxacin group.
However, this was not the case in another study that examined the rate of reepithelialization following PRK.20 This group found that both eyes healed on the same day in 51% of patients. However, in the remaining eyes, significantly more of the moxifloxacin-treated eyes healed faster than the gatifloxacin-treated eyes. In all cases, gatifloxacin-treated eyes showed a larger epithelial defect than the moxifloxacin-treated eyes.
Finally, there is a significant difference in bioavailability of the two drugs. The ability to penetrate the ocular surface is critically important both to treat active infections and to act as prophylaxis against developing new infections. There is no question that moxifloxacin has much better ocular penetration into the cornea and aqueous than does gatifloxacin.21-23 However, both drugs penetrate enough to exceed the MICs of the key ocular pathogens.23-26 So, even though moxifloxacin has better penetration, it has yet to be determined if achieving a higher concentration offers an advantage once the target MIC has been reached.
Why is there no consistency among the studies? Does it relate to differences in study design or perhaps even geographic differences related to where the studies were conducted? Regardless, with the limited data that is available, there is no clear distinction between these two drugs when comparing wound healing and rate of reepithelialization. Further study is indicated.
Looking forward
In conclusion, the fourth-generation fluoroquinolones represent an important breakthrough in treating and prophylaxing against ocular infections; they offer a clear advantage over the older-generation fluoroquino-lones. Despite their differences, both moxifloxacin and gatifloxacin are effective drugs.
Perhaps the most important message is the recognition of bacterial resistance to the older generation fluoroquinolones. Finally, even though the fourth- generation fluoroquinolones have not been approved for treating bacterial keratitis, the literature clearly supports their use based upon efficacy. Doubtless, as the fourth-generation fluoroquinolones continue to be utilized, more data will surface to help guide us in making decisions for our patients.
1. O'Brien TP, Maguire MG, et al. Efficacy of ofloxacin vs. cefazolin and tobramycin in the therapy for bacterial keratitis. Report from the Bacterial Keratitis Study Research Group. Arch Ophthalmol. 1995 Oct;113(10):1257-65.
2. Hyndiuk RA, Eiferman RA, Caldwell MD. Comparison of cipro-floxacin ophthalmic solution 0.3% to fortified tobramycin-cefazolin in treating bacterial corneal ulcers. Ciproflox-acin Bacterial Keratitis Study Group. Ophthalmol. 1996 Nov;103(11):1854-62; discussion 1862-3.
3. Snyder ME, Katz HR. Cipro-floxacin-resistant bacterial keratitis. Am J Ophthalmol. 1992; 114:336-338.
4. Alexandrakis G, Alfonso ED, Miller D. Shifting trends in bacterial keratitis in South Florida and emerging resistance to fluoroquinolones. Ophthalmol 2000; 107(8):1497-1502.
5. Goldstein M, Kowalski R, Gordon Y. Emerging fluoroquinolone resistance in bacterial keratitis: A 5 year review. Ophthalmol July 1999; 106 (7): 1313-8
6. Kowalski R, Karenchak L, Romanowski EG. Infectious disease: changing antibiotic susceptibility. Ophthalmol Clin North Am. 2003;16(1):1-9.
7. Neu CH. Microbiologic aspects of the fluoroquinolones. Am J Ophthalmol. 1991;112:15S-24S.
8. Blondeau JM. Fluoroquino-lones: Mechanism of action, classification, and development of resistance. Surv Ophthalmol 2004;49 (Suppl 2):S73-S78.
9. Kowalski RP, Yates KA, Roman-owski EG, et al. An ophthalmologists guide to understanding antibiotic susceptibility and the minimum inhibitory concentration data. Ophthalmol 2005; 112: 1987-1991.
10. Kowalski RP, Dhaliwal DK, Karenchak LM et al. Gatifloxacin and moxifloxacin: An in vitro susceptibility comparison to levofloxacin, cipro-floxacin and ofloxacin using bacterial keratitis isolates. Am J Ophthalmol 2003; 136:500-505.
11. Mather R, Karenchak LM, Romanowski EG, et al. Fourth generation fluoroquinolones: new weapons in the arsenal of ophthalmic antibiotics. Am J Ophthalmol. 2002;133:463-466.
12. Callegan MC, Ramirez R, Kane ST, Cochran DC, Jensen H. Antibacterial activity of the fourth-generation fluoroquinolones gatifloxacin and moxifloxacin against ocular patho-gens. Adv Ther. 2003;20:246-252.
13. Blondeau JM, Hedlin P, Borsos SD. The antimicrobial activity of gatifloxacin (GAT) with or without benzalkonium chloride (BAK) against ocular bacterial pathogens. Presented at: Annual Meeting of the Association for Research in Vision and Ophthalmol (ARVO); May 1-5, 2005; Fort Lauderdale, FL.
14. Eser I, Hyon JY, et al. Comparative antimicrobial efficacy of preserved and preservative-free topical fourth generation fluoroquinolones against various strains of Staphylococcus. Presented at: ARVO; April 25-29, 2004; Fort Lauderdale, FL.
15. Farley WJ, Pflugfelder S, et al. Effects of commercial 4th generation fluoroquinolones on corneal epithelial barrier function in experimental murine dry eye. 2004; ARVO E-Abstract 4904.
16. Schmidt LP, Beuerman R, et al. Comparison of gatifloxacin and moxifloxacin in healing of a linear incision in the rabbit cornea. 2004; ARVO E-Abstract 1427.
17. Gao J, McDonnell PJ, Stern M. Effect of the 4th generation fluoroquinolone on rabbit corneal wound healing. 2004; ARVO E-Abstract 4889.
18. Moshirfar M. Effects of moxifloxacin and gatifloxacin on corneal epithelial healing after penetrating keratoplasty. Cornea 2005;24:833-836
19. Solomon R, Donnenfeld ED, Perry HD, et al. Penetration of topically applied gatifloxacin 0.3%, moxifloxacin 0.5%, and ciprofloxacin 0.3% into the aqueous humor. Am J Ophthalmol 2005: 112:466-469.
20. Burka JM, Bower KS, Vanroekel RC, et al. The effect of fourth-generation fluoroquinolones gatiflox- acin and moxifloxacin on epithelial healing following photorefractive keratectomy. Am J Ophthalmol 2005; 140(1):83-7.
21. Kim DH, Stark WJ, O'brien TP et al. Aqueous penetration and biologic activity of moxifloxacin 0.5% ophthalmic solution and gatifloxacin 0.3% solution in cataract surgery. Ophthalmol 2005; 112(11):1992-1996.
22. McCulley JP, Surratt G, Shine W. Fourth-generation fluoroquinolone penetration into aqueous humor in humans. Presented at: Annual Meeting of the American Academy of Ophthalmology (AAO); October 23-26, 2004; New Orleans, La.
23. Chu Y. Penetration of gatifloxacin ophthalmic solution 0.3% into aqueous humor of patients undergoing cataract surgery. Presented at: ARVO; April 25-29, 2004; Fort Lauderdale, Fla.
24. Hariprasad SM, Mieler WF, Holz ER. Vitreous and aqueous penetration of orally administered gatifloxacin in humans. Arch Ophthalmol. 2003;121:345-350.
25. Price FW, Price MO. Penetration of gatifloxacin ophthalmic solution 0.3% into human aqueous humor of patients undergoing cataract surgery. Presented at: ARVO; April 25-29, 2004; Fort Lauderdale, Fla.
26. Wittpenn JR, Pascucci SE, Donnenfeld ED, Perry HD, Nix D, Snyder RW. Determination of corneal absorption and penetration of topical gatifloxacin. Presented at: AAO; October 23-26, 2004; New Orleans, La.
Dr. Dunbar is the Director of Optometric Services and Optometry Residency Supervisor at the University of Miami's Bascom Palmer Eye Institute. Dr. Dunbar can be reached at mdunbar@med.miami.edu.


