glaucoma
Glaucoma Imaging: Getting
Closer
BY Mitchell
W. Dul, O.D., M.S., F.A.A.O.
|
|
| Heidelberg slit lamp OCT of the anterior chamber angle. |
Optometric Management is proud to present this installment in our series of articles on glaucoma that have been planned in partnership with the Optometric Glaucoma Society (OGS). The Society has provided OM with expert authors who will discuss therapies, epidemiology, diagnostic equipment and other current issues in glaucoma management. For additional information on the Society, contact the OGS through the Web site optometricglaucomasociety.org. The views expressed in this article are the author's and do not necessarily represent the views of the OGS or Optometric Management.
New technologies such as scanning laser tomography (HRT3, Heidelberg Engineering), laser polarimetry (GDx, Carl Zeiss Meditec) and ocular coherence tomography (OCT Stratus) will likely play a growing role in optometry, affecting the way we assess and manage glaucoma. These tools will enable us to acquire objective and highly reproducible images that will assist in the work-up and management of our patients.
In addition, the images provide an excellent tool for patient education obviously, a very important factor that influences a patient's adherence to future follow-up and treatment. These devices are beginning to provide a technological platform from which we can expect future software enhancements. These advancements will enable us to better assess clinically significant change in a patient's condition over time.
Use sound judgement
By now we're all familiar with scanning laser tomography, laser polarimetry and ocular coherence tomography, devices that assess the structure of the optic nerve, retinal nerve fiber layer and retina. These present data in various forms, including the use of probability scales that provide a sense how a patient compares with each device's internal database. This information supplements our clinical assessment, which entails comparing each patient's findings with our own clinical experience. I wouldn't advise you use any of these devices in the absence of sound clinical assessments and judgment. Further research is required.
|
|
|
OCT of nasal and temporal sections of the anterior chamber angle including dimensions of key structures. |
Fortunately, several National Eye Institute studies are currently underway that will shed light on the issue of whether these technologies are more sensitive for detecting glaucoma progression than a thorough clinical examination that includes both structural optic nerve head (ONH) and functional visual field (VF) assessments.
Anterior segment
Recent technological advances for glaucoma management include ocular coherence tomography (OCT) available for the anterior segment of the eye. Examples of this include Visante (Carl Zeiss Meditec) and SL OCT (Heidelberg Engineering). In addition, Portable Ophthalmic Devices is seeking FDA-approval for an ultrasonic device that is presently used for small-animal research and veterinary ophthalmic diagnosis. This device provides dynamic images of anterior segment. For instance, we can visualize changes in the configuration of the anterior chamber angle, iris, lens and ciliary body in the light and dark. This can add important information in the work-up of a glaucoma patient with a suspected narrow angle component.
|
|
|
Model MHF: A high-frequency ultrasound of the anterior chamber angle and ciliary body. |
Studies conducted across the United States show that non-glaucoma specialists often do not perform critical elements of the assessment of glaucoma patients. Most notably, these include gonioscopy, optic nerve assessment and optic nerve head documentation on a regular basis. Moreover, researchers found this to be the case among both comprehensive ophthalmologists/optometrists and glaucoma specialists. These studies appear to suggest that practitioners are under-utilizing gonioscopy in their assessment of glaucoma patients.
The new anterior segment devices could provide high quality, dynamic, reproducible images of the anterior chamber angle without touching the eye.
Assessing the anterior chamber angle
The utility of gonioscopy in the management of glaucoma is critical for an accurate diagnostic assessment. Although primary open-angle glaucoma is by far the most common form of glaucoma in the United States, it is a diagnosis we should reserve for patients who have had a thorough gonioscopic assessment to rule out secondary or contributing etiologies.
For instance, a practitioner could misdiagnose intermittent or chronic angle closure glaucoma (ACG) as chronic open angle glaucoma, which could lead to inappropriate treatment and exposure to medications that may not be necessary. Although there are several mechanisms responsible for ACG, most close (acutely, intermittently, or chronically) the anterior chamber filtration angle by the peripheral iris. This makes gonioscopy an essential element in the differential diagnosis of these and other forms of glaucoma.
Imaging the anterior segment angle
|
|
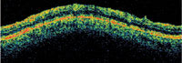
|
Stratus OCT: RNFL scan. |
The Stratus OCT (Carl Zeiss Meditec), used clinically for the evaluation of the retina, employs a 0.8 nm wavelength that cannot penetrate the sclera. As such, it is not ideal for assessing the anterior segment. However, the anterior segment version, the SL OCT, uses a longer wavelength that produces clinically useful results. Preliminary clinical studies suggest that anterior segment OCT compares favorably with conventional gonioscopy in its ability to identify potentially occludable angles.
The SL OCT allows for precise evaluation, measurement and analysis of the anterior segment, including anterior chamber depth (ACD), anterior chamber angles and the angle-to-angle distance (anterior chamber diameter). It can also assist in postoperative evaluation because it allows imaging and measurement of intraocular lenses and ocular implants.
The procedure is relatively fast. Additionally, you can perform it in complete darkness as well as in brightly lit surroundings (to assist in the dynamic assessment of the angle). The images are also digitally documented, so you can magnify, enhance, transmit and measure them. In addition, a technician can take the image, freeing the doctor to focus time on assessing the results. Compared with existing technology (ultrasound biomicroscopy), the anterior segment OCT does not contact the eye and provides a higher resolution image.
|
|
|
The HRT3 shows a 3-D image of the optic disc. The green line outlines the disc margin. |
It seems likely that manufacturers will develop archived clinical databases in future permutations of this technology. We could then compare parameters such as the anterior chamber depth and configuration of the anterior chamber angle (steepness of approach, change in configuration in dark and light) with this internal database. We could generate probability analysis to determine the extent of deviation from a norm or the risk of angle closure.
Portable ultrasound
You can think of the portable ultrasonic device (Model MHF-1, Portable Ophthalmic Devices Inc.) as a portable version of the existing ultrasound biomicroscopy (UBM, Carl Zeiss Meditec) technology that uses a high-frequency transducer on the surface of the eye.
The Zeiss UBM and new version of the MHF-1 operate at 50MHz and can produce images with good resolution and a depth of penetration of the ocular tissue (4-5mm in depth). This is an advantage over the anterior segment OCT counterparts, which do not image as deeply.
|
|
|
|
The GDx measures the retardance of polarized light as it travels through the retina and shows five major components of the affected eye. Left: normal eye; right: glaucoma eye. |
|
This technology may improve imaging of conditions that occur behind the iris, such as tumors and the position of posterior chamber intraocular lenses, which may contribute to the pathogenesis of various forms of glaucoma. The Model MHF-1 portable ultrasonic device should receive approval from the FDA, for use in humans, in the near future.
Still in the future for some
In their present form, these technologies may not be ready for the general optometric or ophthalmic practice. This is particularly true as space constraints and cost may preclude their use in the general practice setting. However, future refinements of this technology are likely.
Best practice pearls
A glaucoma evaluation should include the following:
►measuring intraocular pressure
►assessment of the anterior chamber angle (gonioscopy)
►stereoscopic evaluation of the optic nerve/neural retinal rim, retinal nerve fiber
layer (structural assessment)
►visual
field testing (functional assessment).
Keep in mind that central corneal thickness measurements and optic nerve photography or other computerized imaging are useful adjuncts to your glaucoma assessment. Finally, remember that we must always be cautious when deciding if and when a new technology is comparable or better than existing standards of care, as well as if you should incorporate into your practice.
Dr. Dul is the Chairman of the Department of Clinical Sciences at the State University of New York State College of Optometry and the Director of the Glaucoma Institute of the University Optometry Center in Midtown Manhattan. He is an associate in private practice in Peekskill, NY, a founding member of the Optometric Glaucoma Society and a member of the American Academy of Optometry Disease Section Diplomate Committee for Glaucoma.
|
Device Details |
| ■GDx, Carl Zeiss Meditec. The
scanning laser polarimeter measures the phase shift of polarized light passing through
the eye. It measures the retinal nerve fiber layer (RNFL), in a 20� x 20� area
around the optic disc. It aids in diagnosis and management, particularly for risk
factors such as large cups or elevated pressures that exist without visual field
defects.The GDx also compares RNFL measurements to a large database and provides
graphic images for early diagnosis and tracking change over time. Dimensions H:
14"; W: 10". ■HRT3, Heidelberg Engineering. Confocal scanning laser ophthalmoscope provides 3-D topographical image of the width, depth and rim slope of the optic disc as well as the RNFL; it also provides Glaucoma Probability Score and progression analysis. The HRT3 provides probability values for damage consistent with glaucoma, as well as information on the integrity of the neuro-retinal rim and RNFL. Scan field (actual image): 15� x 15�. Dimensions H: 36"; W: 23". ■Model MHF-1, Portable Ophthalmic Devices. This is a high-frequency imaging system for anterior and posterior chambers; it documents the anterior angle without contact, using a self-contained water bath probe. It captures images through high-frequency ultrasound and provides an ultrasonic view of the angle and pathology of the eye. The company expects FDA-approval for the U.S. human market this year. Dimensions H: 12"; W: 9". ■SL OCT, Heidelberg Engineering. Images and monitors angle status; provides non-contact, high resolution analysis of anterior segment. It's similar to a sonogram, but uses 1300 nm of laser light, so it's non-contact. It views and evaluates virtually any anterior segment or tissue and provides angle assessment and measurement. Dimensions H: 24"; W: 36". ■Stratus OCT, Carl Zeiss Meditec. It uses near-infrared frequency light (82 nm) to scan the retina. This is similar to ultrasound, but uses a broad bandwidth light beam instead of sound and does not require contact with the tissue. The device provides a structural RNFL as assessment aids in early diagnosis and monitoring progression. The Stratus images and measures the optic nerve head and RNFL. Its RNFL analysis enables objective measurement of peripapillary RNFL thickness. Dimensions H: 50"; W: 48". ■Visante, Carl Zeiss Meditec. It provides non-contact visualization of the anterior chamber using 1310nm of light with optical coherence tomography. It provides a large field of view, optimized for the anterior chamber. Detailed images of the anterior angle, including the scleral spur, are helpful for diagnosing and managing narrow angle glaucoma. The visualization of blebs and implants aid in glaucoma treatment planning and management. Dimensions H:19.09"; W: 17.24". |


