uveitis
More than Meets
the Eye
Certain
symptoms may indicate systemic disease in these patients.
BY WILLIAM MARCOLINI, O.D.
To most primary care optometrists the above statement rings true. Most of us will make a one-word diagnosis of "uveitis," start the patient on a steroid and if the patient isn't better in a day or two, we refer him or her out. The intent of this article is to make us more adept at properly diagnosing and classifying uveitis, choosing the appropriate therapeutic regimen and identifying symptoms that may clue you in to systemic disease, as well as knowing when to refer. As you will soon see, uveitis is indeed more than meets the eye.
|
|
|
Large keratic precipitates are suggestive of granulomatous uveitis, often linked to systemic disease. |
Signs and symptoms
From a practice management standpoint, uveitis is not profitable in the same vein as treating patients with a chronic disease like glaucoma. However, from the perspective of full scope optometry, providing the best care for your patient, and educating the patient that you can treat myriad diseases, the management of uveitis can be a practice builder in and of itself. Educate your staff not to dismiss any patient with a red eye as "pink eye" and that all red eyes require thorough and prompt evaluation in the office. It's estimated that the incidence of uveitis in the United States is 15 cases per 100,000 or almost 38,000 new cases per year. In fact, uveitis and it's potentially devastating sequelae represent 15% of all cases of blindness in the United States, making it the third leading cause of blindness. The peak age of incidence of uveitic patients is between 20 and 40, ages when patients should be refilling their contact lens prescriptions and not their steroid prescriptions.
To establish even more urgency, uveitis can have potentially devastating consequences for our youngest patients because 35% of pediatric uveitis patients develop ocular hypertension from uveitis, with juvenile rheumatoid arthritis and ANA-positive patients at most risk for secondary glaucoma. These serious consequences are precisely why an appropriate diagnosis and aggressive management of uveitis are of paramount importance. We must strive to identify these patients early, while aggressively managing their intraocular inflammation to prevent devastating sequelae and choose appropriate lab or radiological testing and refer as appropriate. To paraphrase Stephen Foster, M.D., director of immunology and uveitis services at Harvard Medical School and the Massachusetts Eye and Ear Infirmary, A sea of change must occur in the tolerance of low-grade chronic inflammation that continues, eventually, to rob children and adults of precious vision. We believe strongly in a paradigm of zero tolerance for chronic intraocular inflammation. If no other point in this article hits home, this last one should. Given today's technology, as well as over fifty years of successful corticosteroid and immunosuppressive therapy, we can't understate the value of eradicating all intraocular inflammation.
|
|
|
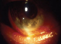
Sterile hypopyon associated with HLA B-27 anterior uveitis. |
Management plans
To successfully manage a patient with uveitis, I advocate an eight-step clinical approach (see chart on page 37).
We must include uveitis as a working differential in any patient who presents with a red eye. With five years experience in an optometric referral center, I have seen patients' treatment delayed for weeks as they patiently instill antibiotics in hopes of getting better. The patient's local primary care physician or emergency room personnel generally initiate this treatment after making an incorrect diagnosis and advise the patient to see an eye doctor if symptoms don't improve.
Patients who suffer from uveitis often list photophobia and redness as their chief complaints. Pain is often variable ranging from severe to none. As a clinical pearl, the latter can potentially be deceptive as patients with Juvenile Rheumatoid Arthritis often present asymptomatically with a white and quiet eye, though an intense chamber reaction is present. This is yet another reason not to let parents dismiss red eyes as "pink eye." A variety of things may cause blurred vision including, but not limited to, high intraocular pressure, cystoid macular edema, lens shift, chronic hypotony, vitritis or choroiditis/retinitis affecting the macula or optic nerve itself. Patients with uveitis may also see floaters, especially those suffering from intermediate uveitis.
Inflammatory response
If you consider that any tissue with a vascular supply is capable of inflammation, then you can imagine that the signs of uveitis can affect any ocular structure. From the lids (edema) to the optic nerve (papillitis), no ocular structure is immune from the potentially devastating effects of inflammation. The most common signs of anterior segment inflammation are the presence of circumlimbal ciliary flush and anterior chamber cells and flare. Cells and flare are important for two reasons: First they are white blood cells and represent vascular incompetence and therefore inflammation; second, they are used to guide therapeutic regimens as diminishing numbers indicate clinical improvement. A variety of classification systems are available, but it's important that each clinician develops a system and applies it consistently. This applies to those patients who suffer from uveitis, as well as post-surgical patients.
Inflammation can cause the iris to become "sticky" and cause the formation of both posterior synechiae and peripheral anterior synechiae. Both can cause an obstruction of the trabecular meshwork and increase intraocular pressure (IOP) and glaucoma from pupillary block or direct synechial closure of the angle structures. You should try to avoid these potential complications at all costs. There can also be a decrease in IOP, especially initially because, as a result of the inflammation, the ciliary body will produce less aqueous. It's not uncommon to see single-digit pressures from anterior uveitis. Moving behind the lens, you may see a host of inflammatory responses ranging from vitritis and snow banking to papillitis. If you note signs of intermediate or posterior uveitis, it may be best to refer the patient to a uveitis or retinal specialist.
|
|
|
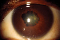
Beware posterior synechiae as it could lead to pupillary block glaucoma. |
Classification
Upon completion of this article, the word "uveitis" as it stands alone should be wiped from your vocabulary. According to the international uveitis study group we must classify uveitis based on anatomic boundaries as well as whether the inflammation is granulomatous or nongranulomatous, and whether it is acute, chronic or recurrent. Nongranulomatous keratic precipitates are smaller, often unilateral and more indicative of a primary ocular process in contrast to granulomatous uveitis, which tends to have a greasy, "mutton fat" appearance and is often bilateral and more frequently indicative of systemic disease.
Anterior uveitis is defined as inflammation in the anterior segment, with the cornea and iris serving as anatomic boundaries. This represents the most common form that primary care optometrists will encounter. In fact, according to one large, community-based study, 71% of all uveitis cases are anterior. A common diagnosis that you will encounter and should be comfortable treating is acute unilateral idiopathic nongranulo- matous uveitis. It's estimated that 38 to 56% of cases of anterior uveitis are idiopathic.
Treatment considerations
Begin treatment immediately and follow patients every 24 to 48 hours for the first week and then less frequently as the patient improves. Improvement is measured by a variety of barometers including patient symptoms and ocular redness, but the most important is the lessening of inflammatory cells in the anterior chamber. The goal of therapy is total eradication of all inflammation to prevent complications such as synechiae and secondary glaucoma. Aggressive therapy should begin with a topical corticosteroid every half hour for the first six hours and then hourly with decreasing dosage as clinical conditions improve. Continue to taper slowly until the inflammation is completely resolved. Topical prednisolone acetate 1% (Pred Forte 1%, Allergan and Econopred, 1% Alcon) achieves excellent anterior chamber penetration when dosed frequently and is the drug of choice for anterior uveitis. Keep in mind that patients need to thoroughly mix the suspension and instruct them to shake the bottle before instillation.
Steroid responders are indeed real so you'll need to monitor IOP carefully. The mechanism of steroid response seems to be an enhanced deposition of mucopolysaccharides in the trabecular meshwork that can occur as early as one week after initiating treatment, with the IOP returning to normal two weeks after discontinuation. Students and patients often ask if dilation is absolutely necessary. My standard answer is that you are actually doing the patient a disservice if you don't cycloplege them. Yes, it may be inconvenient to have your pupil dilated for a few extra days, but the reality is that by preventing synechial formation, you reduce the incidence of secondary glaucoma and potential blindness. There's also the added benefit of pain reduction and prevention of ciliary spasm. However, you must dilate all patients who have uveitis to rule out the presence of intermediate or posterior uveitis. For the majority of cases, homatropine 5% t.i.d. is sufficient to achieve the aforementioned goals. Occasionally a stronger cycloplegic/mydriatic such scopolamine 0.25%, atropine 1% or 10% phenylephrine is necessary to break synechiae.
Recommended tests
For a first episode there is generally no need for a systemic work-up, unless symptoms suggest otherwise. In general, for recurrent episodes or bilateral disease a systemic work-up is often warranted. Obviously, you should tailor the work-up to the specific patient and clinical symptoms after a careful review of systems. The testing recommended for the uveitic patient includes:
► Complete
Blood Count (CBC),
► Erythrocyte
Sedimentation Rate (ESR),
► Antinuclear
Antibody (ANA) for lupus,
► Angiotensin-converting
enzyme (ACE) for sarcoidosis,
► Human
Leukocyte Antigen (HLA) typing,
► Lyme
titer,
► Rapid
Plasma Reagin (RPR) for syphilis,
► Venereal
Disease Research Laboratory Slide (VDRL) test for syphilis,
► Fluorescent Treponemal Antibody Absorption (FTA-ABS) for syphilis,
► C-reactive
Protein,
► Rheumatoid
Factor and Chest X-Ray (for tuberculosis/ sarcoidosis).
|
EIGHT STEPS FOR MANAGING UVEITIS PATIENTS |
|
1. Review symptoms 2. Evaluate pertinent signs 3. Carefully review patient history and systems 4. Perform thorough clinical examination 5. Classify uveitis 6. Perform lab studies/radiological studies as necessary
7. Aggressive treatment of intraocular inflammation 8. Appropriate referral for more advanced interventions. |
Should you discover any positive finding, refer the patient to his or her primary care doctor or appropriate sub-specialist such as rheumatologist, pulmonologist, etc. Some pearls to keep in mind when dealing with anterior segment uveitis is that most cases are sterile in nature versus infectious, most cases are idiopathic and those resulting from trauma are self-limiting. Should you encounter a sterile hypopyon, consider a diagnosis of HLA B-27 uveitis. Take care to rule out endophthalmitis and Behçet's disease. Almost half (47%) of patients with anterior uveitis have been definitively linked with the HLA-B-27 haplotype. The seronegative spondyloarthropathies associated with uveitis include Crohn's disease, Ankylosing Spondylitis and Reiter's syndrome.
Intermediate uveitis (IU) represents 15% of all cases of uveitis; it's characterized by anterior vitreal and peripheral retinal inflammation. The chief complaint is often floaters, with a white and quiet eye, so consider uveitis in the list of differentials for all patients with this complaint. Associated conditions include sarcoidosis, multiple sclerosis, Lyme disease, syphilis and tuberculosis. When idiopathic, the term Pars Planitis is used. Clinical signs include vitreous cells, snowballs, snow banking and periphlebitis. There's an association between IU and the systemic disease multiple sclerosis as they share the same HLA DR-2 haplotype. If you note intermediate uveitis, consult with a retinal specialist. Once you've ruled out infectious causes, initiate treatment unless the patient's vision is less than 20/40, or has significant pain or floaters impacting vision. Periocular steroids are usually injected retroseptally or subtenon's.
Posterior uveitis can have potentially devastating visual consequences and is generally divided into infectious and autoimmune categories. Inflammation is found in the anterior chamber, vitreous, choroid, retina, or a combination of all termed panuveitis. Common causes include toxoplasmosis, sarcoidosis and histoplasmosis, among many others. The goal here is to identify the cause of the inflammation early and initiate appropriate antibiosis, antiviral or anti-inflammatory therapy.
Systemic corticosteroids, systemic NSAIDs, immunosuppressives, intravitreal injections and intravitreal implantation devices are employed in the posterior uveitis arsenal. Because a zero tolerance of inflammation is the main goal of therapy, it's not acceptable to allow a patient to have smoldering inflammation. Systemic corticosteroids can be effective in the short-term, but consider immunosuppressive chemotherapy in any patient who is unresponsive or expected to be on steroids for more than six months. Drugs like metho-trexate (Rheumatrex, Wyeth-Ayerst and Trexall, Barr Pharma- ceuticals), cyclophosphamide (Cytoxan, Bristol Myers Squibb and Neosar, Adria Laboratories), Etanercept (Enbrel, Immunex Corp.) and others continue to gain momentum in the treatment and control of systemic and ocular inflammation. Studies have shown the TNF blocker infliximab (Remicade, Centocor, Inc.) used for the treatment of Crohn's disease to be highly effective in the treatment of patients with uveitis. Finally, on the horizon is the new intravitreal fluocinolone acetonide steroid implant Retisert by Bausch & Lomb. In clinical trials involving 227 patients with non-infectious uveitis, there was a 7 to 14% recurrence rate in eyes implanted with Retisert versus 40 to 54% in non-implanted eyes.
Each treatment whether systemic and intravitreal steroids or immunosuppressives is not without significant side-effect potential. However, when used properly, they offer new and exciting hope to uveitic patients through better suppression of systemic and ocular inflammation.
To treat uveitis successfully we must promptly recognize and classify the disease. Remember to treat aggressively "using enough, often enough," with the overall goal of zero cells and therefore zero complications.
References
1. Foster CS, Vitale AT. Diagnosis and Treatment of Uveitis. Philadelphia: WB Saunders;2002:21,2,153,581.
2. Sijssens K, Rothova A, Berendschot JM, de Boer JH. Ocular Hypertension and Secondary Glaucoma in Children with Uveitis. Ophthalmology. 2006 May; 113(5)853-864.
3. Bloch Michel E, Nussenblatt RB. International uveitis study group recommendations for the evaluation of intraocular inflammatory disease. Am J Ophthalmol. 1987;103:131-6.
4. McCannel CA, Holland GN, Helm CJ, et al. Causes of uveitis in the general practice of ophthalmology. UCLA Community Based Uveitis Study Group Am J Ophthalmol. 1996;121:35-46.
5. Yanoff M, Duker J, Forster DJ. Ophthalmology 2nd Edition. St. Louis:Mosby;2004;161;1115-1120.
6. Uveitis: Clinical Trials session 230 Papers presented at: Annual Meeting of Association for Research in Vision and Ophthalmology; May 1, 2006; Ft. Lauderdale.
7. Jaffe GJ, Martin D, Callanan D, et al. Fluocinolone acetonide implant (Retisert) for noninfectious posterior uveitis: thirty-four-week results of a multicenter randomized clinical study. Ophthalmology. 2006; 113(6):1020-7.


