retina
The Many Faces of a Retinal Hemorrhage
The pathophysiology of the retinal vascular system and the classification of a retinal hemorrhage aids in diagnosis.
DIANA L. SHECHTMAN, O.D., F.A.A.O. AND ALAN G. KABAT, O.D., F.A.A.O., Fort Lauderdale, Fla.
A 54-year-old white male presented for a comprehensive evaluation, reporting his cardiologist discovered abnormal carotid ultrasound findings (the patient wasn't aware of the specifics) one-week prior.
Aside from his initial history, his personal and family medical histories were unremarkable.
Examination revealed best-corrected visual acuity of 20/20 O.D. and O.S. Pupils, extraocular motilities, color vision and confrontation fields as well as slit-lamp examination were unremarkable, O.U. Dilated fundus examination was unremarkable for the right eye, though the left eye displayed numerous, mid-peripheral dot-and-blot hemorrhages and dilated, non-tortuous veins.
Based on the clinical presentation, we strongly suspected ocular ischemic syndrome (OIS). OIS embodies numerous anterior and posterior segment signs, as in this patient, which result from decreased arterial blood flow into the eye. However, characteristic retinal findings of OIS are similar to that of central retinal vein occlusion (CRVO).
Figure 1: A "D- or "boat-shaped" appearance with a sharp demarcation line is usually evident with a pre-retinal hemorrhage.
So, how do the clinical findings of this arterial hypoperfusion disease parallel those of a vein occlusion? Understanding the pathophysiology of the retinal vascular system helps in the diagnosis of this and many other ocular diseases, leading to appropriate management.
Retinal vasculature anatomy
The retina receives its blood supply from two, separate circulatory systems: the retinal vasculature and the choroidal vasculature. Both are derived from the ophthalmic artery, a branch of the internal carotid artery.
The ophthalmic artery branches into the central retinal artery (CRA), comprising the main blood supply of the inner retina. Branches of the CRA, found in the nerve fiber layer (NFL), further divide into arterioles that supply blood to all quadrants of the eye.
The main temporal branch of the CRA arches superiorly and inferiorly to the macula, delineating the foveal avascular zone (FAZ). Because the macula consists primarily of outer retinal layers, which are avascular, the choroidal vasculature from beneath supplies it with nutrients and oxygen.
Figure 2: This flame-shaped hemorrhage appeared in a patient who has hypertensive retinopathy.
Arteries and veins are inter-connected by a "mesh-like" network of capillaries (small vessels). The post-arteriole retinal capillaries are located in the NFL and the deeper pre-venule capillaries are located in the inner nuclear layer.1
The retinal vessels maintain a strong barrier against the passage of fluids; therefore, leakage and hemorrhages are rare unless a significant ocular or systemic pathology is present. Retinal insult to the vascular architecture results in changes of vessel pattern, occlusion, rupture or vascular incompetence leading to hypoxia, edema and hemorrhages.2
Retinal hemorrhages
Retinal hemorrhages discovered during a routine ocular examination in an asymptomatic patient often present a diagnostic challenge. They are not disease entities in and of themselves; rather, they're hallmarks of ocular and/or systemic diseases. As a result, you must determine the hemorrhage's principle cause. This may require a systemic evaluation to decide on the appropriate management.
The type of retinal hemorrhage and its clinical appearance depends on its location within the retina.3 Appropriately categorizing the retinal hemorrhage is a tantamount step in the diagnosis of the patient's condition. Categories of retinal hemorrhage:
► Subhyaloid and preretinal hemorrhages. These hemorrhages are located on the retina's surface. A subhyaloid hemorrhage is located between the posterior vitreous base and the internal limiting membrane (ILM). The preretinal hemorrhage is located posterior to the ILM and anterior to the NFL.
Clinically speaking, distinguishing between these two hemorrhages is difficult. Therefore, clinicians use the terms inter-changeably. A classic "D- or "boat-shaped" appearance with a sharp demarcation line is usually evident with these hemorrhages4,5 (see figure 1). Because blood collects within a loosely adherent superficial retina with this hemorrhage, it's free to spread and characteristically settles inferiorly due to gravity.
Practitioners have described subhyaloid and preretinal hemorrhages as confluent hemorrhages in the posterior pole. Due to their superficial location, these hemorrhages obscure the underlying retinal features (including the retinal vessels) and may severely affect visual acuity if located within the macula. Fortunately, they tend to clear quickly without any subsequent sequelae.1
Subhyaloid and preretinal hemorrhages are associated with pathology affecting the major retinal vessels or the superficial capillary beds. The most commonly associated etiology is retinal neovascularization.1 Posterior vitreous detachment and retinal breaks, associated with the tearing of a major retinal vessel, are also possible causes of these hemorrhages.5 Other less common causes include: Terson's syndrome, retinal trauma and valsalva retinopathy.6,7 Because the same etiologies cause both hemorrhages, the inability to differentiate between the two doesn't affect management.
► Flame-shaped hemorrhages (NFL hemorrhages). These hemorrhages are located within the NFL. The characteristic flame shape is a result of the axons of the ganglion cells squeezing the blood within itself, reflecting the structure of the NFL.
Flame-shaped hemorrhages are typically located in the posterior pole (see figure 2) and tend to resolve within a short period of time (around six weeks).
Flame-shaped hemorrhages are associated with retinal vascular pathology affecting the superficial and peripapillary capillary beds. Any condition affecting the superficial retinal vessels may present with flame-shaped hemorrhages. These include hypertensive retinopathy, retinal vein occlusions and optic neuropathies (papilledema, low-tension glaucoma and anterior ischemic optic neuropathy).8,9 As a result, it's critical you look for related signs to identify the exact cause. For example, a flame-shaped hemorrhage associated with arteriovenous nicking is common in patients who have hypertensive retinopathy (see figure 2).
A Roth spot is a flame-shaped hemorrhage that has a white or pale center. Clinicians have previously speculated that the actual composition of the white center represents focal ischemia, inflammatory infiltration, fibrin or platelet aggregation.10 Although clinicians described Roth spots as microemboli associated with bacterial endocarditis; they now believe these spots most likely represent non-specific signs of blood dyscrasias.10 (See "Etiologies of Roth Spots," page 36.)
► Dot-and-blot hemorrhages. These hemorrhages, seen in the patient mentioned above, are located in the retina's inner nuclear and outer plexiform layers. Their configuration is due to intraretinal compression, restricting the hemorrhages within a specific location.11 Intraretinal hemorrhages take longer to resolve than superficial hemorrhages because they're deeper than flame-shaped hemorrhages.
Dot-and-blot hemorrhages are commonly associated with microvascular signs of edema.1If the accompanying retinal edema is located near the macula, vision may be affected.
Pathology affecting the pre-venular capillaries is the primary cause of these hemorrhages. The more frequently encountered ocular etiologies associated with dot-and-blot hemorrhages are diabetic retinopathy, idiopathic juxtafoveal retinal telangiectasis, vein occlusion and OIS.
The pathophysiologic complexity associated with OIS underscores the importance of understanding the retinal vascular system in order to differentiate OIS from other retinal vascular diseases, such as a vein occlusion. Vascular insufficiency associated with carotid artery disease leads to ocular hypoperfusion. As the blood passes from the retinal arterioles into the capillaries, there is not enough pressure to push it forward into the venules. The increased capillary congestion results in a breakdown of the capillary walls with subsequent hemorrhage and edema.12 The venules attempt to compensate for the decreased blood flow by distending, giving them a dilated, but non-tortuous appearance.
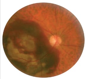
► Subretinal and subretinal pigment epithelium (RPE) hemorrhages. These hemorrhages are located beneath the neurosensory retina (see figure 3). Subretinal hemorrhages accumulate in the space between the neurosensory retina and the retinal pigment epithelium (RPE). Sub-RPE hemorrhages are located between the RPE and Bruch's membrane.
Because subretinal and sub-RPE hemorrhages are situated deep in the retina, they exhibit a dark coloration with the retinal vessels clearly visible above. These hemorrhages tend to have an amorphous shape, due to the absence of firm attachments between the neurosensory retina and RPE, allowing the blood to spread.1In contrast, sub-RPE hemorrhages have well-defined borders attributed to the tight cell junctions among RPE cells. Both hemorrhages may be associated with neurosensory or RPE detachments in the posterior pole.1
| Etiologies of Roth Spots |
|---|
|
Figure 3: A sub-retinal hemorrhage seen in a wet age-related macular degeneration patient.
Subretinal and sub-RPE hemorrhages tend to resolve quite slowly, and since they're in close proximity to the outer retina, they may be associated with functional and/or structural changes at the level of the photoreceptors. Thus, they often carry an unfavorable prognosis.
The outer retina is avascular and therefore relies on the blood supply from the choroidal system, beneath.13 By far, the most common cause of these hemorrhages is choroidal neovascular (CNV) membrane formation. Other causes include choroidal tumors, trauma and retinal angiomatous proliferation.14
Management
On rare occasion, you may encounter a non-clearing retinal hemorrhage, such as a preretinal or submacular hemorrhage. As this hemorrhage slowly resolves, it releases biochemical components, which may have the propensity for photoreceptor toxicity. This exceptional circumstance may benefit from treatment that helps drain the hemorrhage, such as an anti-vascular endothelial growth factor (VEGF) agent. Most retinal hemorrhages, however, spontaneously reabsorb without any intervention.15 The most suitable management option for retinal hemorrhages depends on the underlying cause. For instance, in the case of a subretinal hemorrhage associated with a CNV lesion, prompt referral to a retinologist is mandatory, so the retinal specialist may initiate prompt and appropriate treatment.
In addition, a patient presenting with macular edema and hemorrhages associated with diabetic retinopathy may require further treatment, such as intravitreal steroids, for the macular edema.
In patients who have retinal hemorrhages and no reported systemic history, a targeted medical workup is necessary to identify the causative etiology and make the proper referral for therapy. The two most common etiologies of retinal hemorrhage seen in clinical practice are hypertension and diabetes.1
Investigate hypertension in your office by measuring blood pressure (i.e. sphygmomanometry). Current standards suggest that a reading of less than 120/80 is optimal.16 Anything higher on two separate occasions may be considered hypertension. In this case, refer the patient to his primary-care physician for further evaluation.
Diagnosing diabetes requires a simple blood test. The fasting plasma glucose test is probably the most common diagnostic test used today. A "normal" reading is less than 100, while 100 to 125 is considered "pre-diabetes" and 126 or higher is indicative of diabetes.17
Some physicians may also choose to run a glycosylated hemoglobin test (i.e. A1C or HbA1C) on diabetes suspects. This test provides information on glucose control through a 90-day period and is expressed as a percentage. Most normal individuals have an A1C of 5% or less, so results of 6% or higher are strongly suggestive of diabetes.17
Another test to include in any workup of retinal hemorrhages is a complete blood count (CBC) with white cell differential. This provides vast amounts of information regarding the cellular components of the blood, including erythrocytes, leukocytes, platelets and hemoglobin. The CBC can identify a wide variety of systemic disorders associated with retinal hemorrhages, including various anemias, polycythemias, bleeding disorders, leukemias and infections. Specific values may also provide a clue regarding certain forms of liver, heart or lung diseases.
| The CBC can identify a wide variety of systemic disorders associated with retinal hemorrhages. |
Retinal hemorrhages can sometimes occur in patients who have clotting disorders, such as hemophilia, or in individuals using anticoagulant therapy (e.g. warfarin). Blood tests to evaluate clotting factors include prothrombin time (PT) and international normalized ratio (INR).18
Patients presenting with deep retinal hemorrhages associated with OIS often benefit from a targeted vascular workup in addition to blood pressure, CBC with differential and blood glucose evaluation. OIS is a condition marked by retinal hypoper-fusion initiated at a distal location, such as the carotid or heart (see figure 4). Hence, heart echo, carotid ultrasonography and/or Doppler color imaging are important vascular tests to rule out carotid or heart disease. Magnetic resonance angiography (MRA) may also be of value in this capacity, but it's more invasive.
Figure 4: This diabetic retinopathy patient presented with a dot-and-blot hemorrhage.
In older patients (i.e. older than age 60), giant-cell arteritis (GCA) becomes an important consideration. Laboratory testing on these individuals should include an erythrocyte sedimentation rate (ESR) test and a C-reactive protein (CRP) test. A temporal artery biopsy can confirm the diagnosis.
Younger patients (ages 18 to 40) with retinal hemorrhages are at risk for blood dyscrasias, diabetes, hypertension and hyperlipidemia.19 Obtain a serum lipid profile, and consider further antiphospholipid and anticardio-lipin enzymes to determine whether they have antiphospholipid syndrome.20 In rare cases in which you suspect lupus, antinuclear antibody (ANA) testing and/or double-stranded DNA (DSDNA) testing can help identify this collagen vascular disease. You can also use ANA and ESR as a screening test for autoimmune diseases and inflammatory conditions.
Other tests to consider after obtaining a detailed history may include human leukocyte antigen testing (e.g. HLA–B51, HLA-B27, HLA-B5) and enzyme-linked immunosorbent assay (ELISA) or Western-blot-specific testing for: human immuno-deficiency virus (HIV), Lyme disease, toxoplasmosis and tuberculosis. Fluorescent treponemal antibody absorption (FTA-Abs) and rapid plasma reagin (RPR) are indicated if syphilis is part of the differential diagnosis. You may also require blood cultures to identify widespread systemic infection (i.e. septicemia).
In most cases, subretinal hemorrhages tend to occur from local conditions (i.e. CNV); therefore, systemic testing is often unnecessary.
Retinal hemorrhages are common findings in primary eye care. Although seemingly benign, these lesions may actually represent signs of significant ocular and/or systemic disease. Therefore, you must be sure to correctly identify and classify the hemorrhage to determine appropriate management. Management is influenced by the retinal hemorrhage's underlining cause. You may pursue further evaluation and medical work-up based on the accompanying signs and symptoms. OM
1. Beck S, Alexander LJ. Retinal vascular disorders. In: Alexander LJ, ed. Primary Care of the Posterior Segment, 3rd Edition. New York: McGraw-Hill; 2002, 327-470.
2. Tolls DB. Peripheral retinal hemorrhages: a literature review and report on thirty-three patients. J Am Optom Assoc. 1998 Sep;69(9):563-74.
3. Dufek M. Portrait of a hemorrhage: The differential diagnosis of retinal bleeding. Review of Optometry. 1996; Feb 133: 82-90.
4. De Maeyer K, Van Ginderdeuren R, Postelmans L, et al. Sub-inner limiting membrane haemorrhage: causes and treatment with vitrectomy. Br J Ophthalmol. 2007 Jul;91(7):869-72.
5. Seabag J. Anomalous posterior vitreous detachment: a unifying concept in vitreo-retinal disease. Graefes Arch Clin Exp Ophthalmol. 2004 Aug;242(8):690-8.
6. Meyer CH, Mennel S, Rodriguez EB, Schmidt JC. Persistent premacular cavity after membranotonomy in valsava retinopathy evident by optical coherence tomography. Retina. 2006 Jan;26(1):116-8.
7. McCarron MO, Alberts MJ, McCarron P. A systematic review of Terson's syndrome: frequency and prognosis after subarachnoid haemorrhage. J Neurol Neurosurg Psychiatry. 2004 Mar;75 (3):491-3.
8. Hayreh SS, Zimmerman MB, Podhajsky P. Incidence of various types of retinal vein occlusion and their recurrence and demographic characteristics. Am J Ophthalmol. 1994 Apr 15;117(4): 429-41.
9. Liou SY, Sugiyama K, Uchida H, et al. Morphometric characteristics of optic disk with disk hemorrhage in normal-tension glaucoma. Am J Ophthalmol. 2001 Nov; 132(5):618-625.
10. Ling R., James B. White-centered retinal haemorrhages. Postgraduate Med J. 1998 Oct;74(876):581-2
11. Niki T, Muraoka K, Shimizu K. Distribution of capillary non-perfusion in early-stage diabetic retinopathy. Ophthlamology. 1984;Dec;91(12):1431-9.
12. Kearns TP. Differential diagnosis of CRVO. Ophthalmology. 1983 May; 90(5):475-80.
13. Scupola A, Coscas G, Soubrane G, Balestrazzi E. Natural history of macular subretinal hemorrhage in age-related macular degeneration. Ophthalmologica. 1999;213(2):97-102.
14. Yannuzzi LA, Negrão S, Iida T, et al. Retinal angiomatous proliferation in age-related macular degeneration. Retina. 2001;21: 416-34.
15. Ulbig MW, Mangouritsas G, Rothbacher HH, et al. Long-term results after drainage of premacular subhyaloid hemorrhage into the vitreous with a pulsed Nd: YAG laser. Arch Ophthalmol. 1998 Nov;116(11):1465-9.
16. Chobanian AV, Bakris GL, Black HR, et al. The Seventh report of the Joint National Committee on Prevention, Detection, Evaluation, and Treatment of High Blood Pressure: the JNC 7 report. JAMA. 2003 May 21;289(19):2560-72.
17. American Diabetes Association. Pre-Diabetes. http://diabetes.org/diabetes-prevention/pre-diabetes.jsp (Accessed December 17, 2007).
18. Lahey JM, Tunc M, Kearney J, et al. Laboratory evaluation of hypercoagulable states in patients with central retinal vein occlusion who are less than 56 years of age. Ophthalmology. 2002 Jan;109(1): 126-31.
19. Reddy SC, Jackson N. Retinopathy in acute leukaemia at initial diagnosis: correlation of fundus lesions and haematological parameters. Acta Ophthalmol Scand. 2004 Feb;82(1):81-5.
20. Biyik I, Mercan I, Ergene O, Oto O. Ocular bleeding related to warfarin anticoagulation in patients with mechanical heart valve and atrial fibrillation. J Int Med Res. 2007Jan-Feb;35(1):143-9.
|
Dr. Shechtman is an associate professor of optometry at Nova Southeastern University College of optometry, in Ft. Lauderdale, Fla., where she's also an attending physician at the diabetic/macula clinic. She's a member of the optometric retinal society and has published and lectured in ocular disease. E-mail her at dianashe@nova.edu. |
|
Dr. Kabat is associate professor and residency education coordinator at Nova Southeastern University College of Optometry in Fort Lauderdale, Fla., where he's also an attending physician at The Eye Care Institute. He is a well-known author and speaker, publishing and lecturing in numerous venues on topics of ocular and oculosystemic disease. E-mail him at kabat@nova.edu. |


