Beyond Scratching the Surface
Diagnose, treat and manage ocular surface disease for long-term success.
By J. James Thimons, OD, Fairfield, Conn.
RECOGNITION REGARDING the prevalence of ocular surface disease has risen among optometrists in recent years. We're more aware of the under-diagnosed incarnations of ocular surface disease that can cause discomfort, affect vision, impact treatments for other eye diseases and challenge ocular health.
The work of the Delphi Panel has defined the problem with concrete terms, offering a consistent methodology and a context for expanded discussions. Now our goal is to take on the challenge of ocular surface disease and treat it aggressively for better long-term outcomes.
Foundation for Disease
We often refer to ocular surface disease as dysfunctional tear syndrome (DTS), an umbrella term created by the Delphi panel that covers all aspects of dry eye disease, including decreased tear volume and abnormal tear film. The most common forms of DTS seen in a general practice are, in order of prevalence:
1. Classic dry eye: By far the most problematic, this form of DTS typically is secondary to perimenopause or post-menopause in women. It also may be secondary to basic secretory dysfunction.
2. Lid margin disease-related dry eye: Posterior blepharitis (also known as meibomian gland dysfunction) and anterior blepharitis at the lid margin, cause inflammation, dry eye and infection.
3. Medication-related dry eye: Some patients have dry eye as a result of the primary or combination effect of drugs, such as antihistamines and decongestants, and medications used for anxiety, hypertension or pain. It's amazing how many people are taking 4 or 5 drugs that affect the eyes. In a patient with an existing challenge, their medications can create a serious symptomatic concern.
| Dr. Thimons is medical director at Ophthalmic Consultants of Connecticut, with three locations in Fairfield, Stamford and Meriden. In addition, he's clinical professor at the Pennsylvania College of Optometry in Philadelphia. You can reach him at jthimons@sbcglobal.net. |
History and Symptoms
A great deal of DTS diagnosis hinges on history and symptoms. Age, gender, disease history and medications can indicate the need to monitor patients for signs of the disease. Of course, patients also may have typical DTS signs and symptoms, such as redness, dryness or irritation, a sandy or scratchy feeling, burning, crusting eyelids and sensitivity to wind or smoke.
Figures 1 and 2. Meibomian gland dysfunction (left) and anterior blepharitis (right) can cause inflammation, dry eye and infection.
As clinicians, we must question patients about DTS-related complaints. Their symptoms may clearly implicate certain underlying diagnoses. For example:
■ "My eyes are dry when I wake up in the morning" may mean that the patient has blepharitis, or may not be fully closing his eyes at night — a problem that's often exacerbated by air circulation from fans or air conditioners.
■ "My eyes get drier and drier as the day goes on" may indicate classic dry eye, exacerbated by computer use, coffee and alcohol, or even rosacea. The condition is improved during overnight rest, thus, at the start of the day, patients may have little or no discomfort.
■ "My eye hurts" may indicate superior limbic keratoconjunctivitis (SLK). Dry eye is almost never painful, but SLK is an uncomfortable and often painful variant that occurs on the conjunctiva.
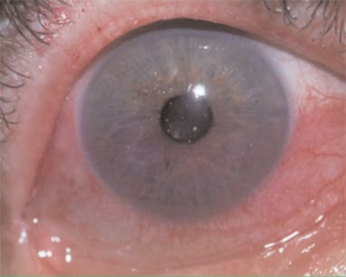
Figure 3. In this patient, rose Bengal staining revealed severe dry eye.
Patients don't always walk in the door and state the obvious, so we need to ask the right questions to learn important historical details. I ask patients when their eyes are driest and when their eyes feel sandy or painful to help narrow it down. Patients with any of these problems may complain that their contact lenses have become uncomfortable and they've shortened their daily wearing time. Some patients have clear-cut vision complaints. (See "Impact on Vision Correction.")
Clinical Evaluation
With the history and assessment of signs and symptoms complete, the clinical evaluation will give us the remaining information we need to diagnose DTS. My testing includes:
■ Visual impact: This is one of my first cause-and-effect tests for DTS. Once I obtain patients' best vision on the chart, I have them blink twice, and then I open the lids and measure how long it takes for their reading of the chart to become blurred. If the surface is normal, this might take 10 seconds. If it only takes 5 to 7 seconds, then the tears are evaporating more rapidly. In some patients, their vision begins to blur after just 2 to 4 seconds.
■ Meibomian gland function: Visually and with the slit lamp, I look for signs of meibomian gland dysfunction or anterior blepharitis. Whether patients are symptomatic or not, I express the meibomian glands and grade the oils from 1 to 4, clear and thin to thick and opaque. This may reveal problems that patients haven't mentioned.
■ Ocular surface integrity: I use lissamine stain in the liquid form to observe the ocular surface because it's much more intense, and it provides a better picture of what's going on in the eye than what is seen when using strips. With this technique, I take a wet a sterile cotton swab with 2 or 3 drops of stain, pull down the lower lid, touch the swab to the lid's interior and tell patients to blink. I check above the cornea and examine the conjunctiva for general staining, which typically occurs before corneal signs.
■ Tear film stability: In addition to using fluorescein to check tear breakup time, I look for foamy material by the acanthus that indicates posterior lid disease. This subtle sign, frequently present in female patients, occurs when oils are broken down into primary esters and soap, creating soapy bubbles.
Based on the examination data, I diagnose DTS according to the Delphi panel guidelines. (See "Delphi Panel Diagnoses.")
Figure 3. The foamy tear film includes breakdown components of sebaceous secretions (fatty acids), which results in saponification, ie, too much detergent in the tear film, such as when soap is trapped in the eye.
| Impact on Vision Correction |
|---|
| DTS has an optical impact, particularly with the performance of progressive multifocal spectacles. Multifocal lenses are sensitive to problems on the ocular surface in the transition area between powers. When patients present with vision issues, we check the refraction, but the surface may be the real problem. When I moved into progressives a few years ago, I noticed that during long trips or late in the day, it got harder to find the sweet spot in my progressive lenses. With the addition of lubricating eye drops (Blink Tears, AMO Inc.), my vision was fine through those same glasses. Whenever a multifocal wearer complains of vision problems after long periods of wear, be sure to check the ocular surface. — J. James Thimons, OD |
Treatments
We have a broad spectrum of options for treating DTS, predicated on the patient's presentation. Whether a patient has unifocal pure evaporative dry eye or complex DTS with posterior lid disease, rosacea and significant global concerns, effective treatments are available.
For mild cases of Level 1 DTS, good hygiene every day may be adequate. I recommend that when patients shower, they wrap a clean washcloth around a finger and firmly rub lashes horizontally. If they have cleaner lid margins, bacteria and other flora are less likely to flourish.
For patients with Level 2 DTS, in addition to Level 1 interventions, I order cyclosporine (Restasis, Allergan) for classic dry eye. Over time, use of cyclosporine can reverse decreased tear production secondary to inflammation and return the ocular surface to its normal, desired condition.
Because cyclosporine can take a week or two to resolve inflammation, some clinicians use a steroid like loteprednol (Lotemax, Bausch & Lomb) with cyclosporine at the start of treatment for faster dismissal of inflammation. I've been doing this for several years with great success.
Patients with Level 3 DTS may need punctal plugs or topical steroids, and Level 4 patients may require surgery, punctal cautery or a mucolytic like acetylcysteine.
When patients have a systemic disease like rosacea, we must address both the ocular effects and the dermatologic effects. Doxycycline and multi-phased oral fatty acids may help patients during the symptomatic stage.
Glaucoma also creates special considerations for patients with DTS. Cyclosporine, artificial tears and punctal plugs are effective, but BAK-preserved glaucoma medications may exacerbate ocular surface symptoms. Glaucoma and DTS require complementary approaches.
Handling Complex, Chronic Cases
In some complex cases of DTS, patients may never be symptom free. They may have hyperthyroidism, lupus, psoriasis or Sjöogren's syndrome. The goal in these patients is to enhance their quality of life right now and for a long time to come. But you can't succeed when you don't meet expectations, so it's important to manage expectations from the first day of diagnosis.
To make my message clear, I use arthritis as an analogy. Once you have it, you can't rid your body of the disease, but you can be made more comfortable. I tell patients that dry eye is a persistent problem, but we'll reduce their symptoms, and then taper to the lowest effective dose. If one medication doesn't work, I'll try another drug until we get it right. Cyclosporine is a good long-term choice in most cases and is the baseline agent for chronic therapy.
When patients return, I say, "Last time you were here, your symptoms were a 10. Where are you today? Great! That's just what I expected. Now, we're going to do this.…" Always remember to be realistic yet optimistic in managing chronic disease.
Recognize, Treat and Improve
In short, we have better defined classification guidelines and more effective treatments for ocular surface disease than ever before. As practitioners, we must recognize the signs and symptoms, then treat aggressively and accurately to improve our patients' outcomes. nOD
| Delphi Panel Diagnoses |
|---|
| Perhaps the greatest contribution of the Delphi panel is the set of four clearly defined levels of severity for DTS. For the first time, we have a common, consistent terminology for diagnosis. The levels are based on patient complaints about the real-world impact of symptoms, as well as results of the clinical exam. ■ Level 1: Patients have mild-to-moderate signs and symptoms. ■ Level 2: Patients have moderate symptoms, affecting the vision and tear film, as well as conjunctival staining and mild corneal staining. ■ Level 3: Patients have moderate-to-severe symptoms, as well as filamentary keratitis, clear corneal punctate staining and central corneal staining. ■ Level 4: Patients have severe symptoms, corneal staining, erosions and conjunctival scarring.
Superficial punctate keratitis (top) and bacterial keratitis would be classified as level 3 or 4 according to the Delphi panel guidelines. |


