Seeing the Retina in High Definition
A case-by-case look at SD-OCT's retina applications.
By Diana Shechtman, OD, FAAO
Spectral domain OCT (SD-OCT) is one tool in a cadre of retinal diagnostic modalities with new capabilities that aid in the diagnosis and monitoring of retinal pathologies. For example, we can remove a particular “slab” of a retinal layer to evaluate only the portion of the retina that we need to assess. We can select and view a specific structure, such as the internal limiting membrane (ILM) in cases of vitreomacular disease, to evaluate the extent of traction upon the retina. In addition, we can view retinal thickening in three dimensions, allowing us to better evaluate and monitor patients. Using the video capabilities, we can educate patients regarding their specific conditions by zooming in and examining the specific area in question.
Evaluation of retinal conditions often benefit from OCT technology. SD-OCT gives us more capabilities to further evaluate such conditions, in particular those subtle or obscure entities. This article will illustrate some of those cases.
Case 1: Type II Idiopathic Macular Telangiectasia (IMT)
A 50-year-old woman of Haitian descent came to our clinic for a second opinion after being diagnosed with age-related macular degeneration (AMD). Of note, AMD is the most common cause of vision loss among patients 65 and older and is most common among white patients.1,2 AMD is uncommon at age 50, but early onset can occur in younger patients and this is commonly attributed to various risk factors.
A Cirrus HD-OCT exam of the left eye showed an intraretinal hypereflective lesion, correlating to a large area of retinal pigment epithelium (RPE) hyperplasia. An associated mild increase in retinal thickness was also noted. The patient's best-corrected vision in this eye was 20/40.
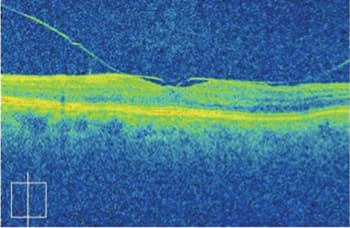
In the right eye, OCT showed the internal limiting membrane draping over a small collapsed cystoid change (Figure 1). This finding is known as the ILM drape and is observed in as many as 50% of eyes with type II IMT, according to Yannuzzi and colleagues.3 With the help of Cirrus HD-OCT, the patient was diagnosed with Type II idiopathic macular telangiectasis (IMT).
Figure 1. OCT shows the internal limiting membrane draping over a small collapsed cystoid change.
Type II IMT has a bilateral presentation commonly associated with pigmentary intraretinal changes and vascular anomalies confined to the perifoveal region. Although no evidence of hemorrhages or exudates is seen in Type II IMT, OCT technology often reveals associated areas of increased retinal thickness.
Case 2: Post-laser Surgical Follow-up
A 55-year-old white male returned to our clinic with complaints of decreased vision OD. BCVA was 20/50 associated with fundus biomicroscopy findings of intraretinal hemorrhages, exudates and retinal thickness confined to the temporal macula. Cirrus HD-OCT showed increased retinal thickness attributed to intraretinal leakage from telangiectatic vasculopathy. The patient was advised to see a retinal specialist for possible laser photocoagulation.
The patient underwent laser treatment and returned to our office one week later. Using the Retinal Change Analysis on the Cirrus HD-OCT, we are able to compare two images from different days. When we move the slider to see a B-scan image in one part of the eye, it automatically moves to the same place in the previous image, so we can compare the exact same location on the retina from visit-to-visit.
When comparing the two exams, Cirrus HD-OCT revealed a change in retinal thickness associated with a 100-micron decrease (Figure 2).
Figure 2. Cirrus HD-OCT reveals a change in retinal thickness associated with a 100-micron decrease.
Case 3: Macular Hole
This patient shows what is now considered a stage 0 macular hole (MH) (re-staging of MH has occurred since the advent of OCT).4 A stage 0 macular hole is described as a partial posterior vitreous detachment (PVD) with associated oblique insertion of the posterior hyaloid into the fovea (typically not associated with macular distortion or symptomology).4 Yet, further traction from the posterior hyaloid can lead to the formation of a full thickness MH5 It is speculated that tractional forces are the contributing factor to the formation of a full thickness idiopathic macular hole.4,6
Evaluation of the presence of a partial PVD or the stage of the hole is especially useful in management of the contralateral eye of a patient with a full thickness macular hole. Staging is also crucial in making management decisions with regards to macular holes.
Case 4: Vitreomacular Traction
An 83-year-old retired optometrist came to our clinic with a chief complaint of “anisocoria.” His visual acuity was 20/20 with no significant differences in refractive error between the two eyes. The dilated fundus exam revealed a subtle epiretinal membrane (ERM) of the right macula. There was no obvious pathology noted in the left macula but the Cirrus HD-OCT scans revealed a different picture.
In the left eye, VMT associated with multiple areas of attachments and detachments was noted (Figure 3). In addition, the right eye was remarkable for an epiretinal membrane and vitreomacular traction, causing retinal distortion. This was further analyzed using the ILM slab (Figure 4), which showed substantial disruption in the ILM for only the right eye. These tractional forces likely contributed to the chief complaint.
Figure 3. Vitreomacular traction, associated with multiple areas of attachments and detachments.
Figure 4. Slab view of epiretinal membrane showing contraction on the internal limiting membrane.
The use of OCT has led to an increased recognition of VMT. Gallemore and colleagues7 conducted a study on a series of patients with various maculopathies. They concluded that VMT was noted in 8% of patients when using ophthalmoscopy alone, compared to 30% in the same patient group when they were evaluated in conjunction with OCT images.
The Future of SD-OCT in Retina
SD-OCT's improved resolution and new software capabilities can help facilitate earlier diagnosis of retinal disease. SD-OCT also enhances the monitoring of disease progression and helps in assessing the benefits of therapeutic intervention. Rapid image capture contributes to better image resolution through the elimination of image degradation associated with motion artifact. These features provide improved integration of diagnostic imaging, which helps in the comprehension of retinal disease.
Of note, although SD-OCT has several clear advantages, the TD-OCT still holds wonderful value in the diagnosis and management of retinal disease. Either device allows us to better care for our patients, in addition to enhancing our understanding of retinal disease processes.
References
1. Klein BE, Klein R, Lee KE, Cruickshanks KJ. Performance-based and self-assessed measures of visual function as related to history of falls, hip fractures, and measured gait time. The Beaver Dam Eye Study. Ophthalmology. 1998;105:160-164.
2. Klein R, Knudtson MD, Lee KE, Gangnon RE, Klein BE. Age-period-cohort effect on the incidence of age-related macular degeneration: the Beaver Dam Eye Study. Ophthalmology. 2008;115:1460-1467.
3. Yannuzzi LA, Bardal AM, Freund KB, Chen KJ, Eandi CM, Blodi B. Idiopathic macular telangiectasia. Arch Ophthalmol. 2006;124:450-460.
4. Spaide RF, Wong D, Fisher Y, Goldbaum M. Correlation of vitreous attachment and fovea deformation in early macular hole states. Am J Ophthalmol. 2002;133:226-229.
5. Ito Y, Terasaki H, Suzuki T, et al. Mapping posterior vitreous detachment by optical coherence tomography in eyes with idiopathic macular hole. Am J Ophthalmol. 2003;135:351–355.
6. Akiba J, Quiroz MA, Trempe CL. Role of vitreous detachment in idiopathic macular holes. Ophthalmology. 1990;97:1610-1613.
7. Gallemore R P, Jumper JM, McCuen BW, Jaffe GJ, Postel EA, Toth CA. Diagnosis of vitreoretinal adhesions in macula disease with optical coherence tomography. Retina. 2000;20:115-120.
Dr. Shechtman is an associate professor of optometry at Nova Southeastern University College of Optometry, where she serves as an attending optometric physician at the eye institute and diabetic/macula clinic.


