OCT
Make the Most of Your SD-OCT
This device has created a paradigm shift in how we visualize and manage the eye, from diagnosis to treatment.
Peter E. Wilcox, O.D., F.O.A.A., Hayes, Va.
The spectral-domain OCT (SD-OCT) creates a win-win-win scenario for the patient, doctor and the practice. As a diagnostic and management tool, it:
► aids in the early and accurate diagnosis of occult eye disease. This early diagnosis of ocular disease equates to the quick initiation of appropriate treatment protocols, which are often less expensive to the patient and typically reduce the rate of disease progression.
► helps in identifying the etiology for unexplained vision loss. It is not uncommon for an astute clinician to convey that the SD-OCT identifies 70% to 80% of previously unexplained vision loss from occult disease.
► allows for enhanced communication between comanaging professionals.
► results in a thriving business from improved diagnosis, management and referrals from both satisfied patients and affiliated healthcare providers.
In short, the patients' needs are efficiently and effectively comprehended while the clinicians' intra- and extra-office management and marketing abilities blossom.
The historic use of the OCT started in the posterior segment. Advancements in the technology allow visualization of the anterior segment, including the analysis of corneal and scleral lenses. Today, the power of the SD-OCT has created a paradigm shift in how we visualize and manage the eye, from diagnosis to treatment, as illustrated in the following cases.
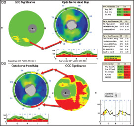
CASE 1: POAG (optic nerve head map and GCC thickness maps)
The inner retina is defined as those layers located between the vitreoretinal interface and the inner plexiform layer (IPL). A subset of those surface retinal layers is the Ganglion Cell Complex (GCC), which is comprised of the nerve fiber layer (NFL), the ganglion cell layer (GCL) and the IPL. The SD-OCT is able to selectively evaluate and monitor the GCC, which allows a targeted testing of the retinal layers most affected by the glaucomatous process. (Visualization of the GCC typically provides early identification of primary open-angle glaucoma [POAG]).
The SD-OCT allows the precise measurement of the retinal nerve fiber layer (RNFL), which emanates from the GCC and exits the globe at the disc. Since loss of RNFL follows GCC damage, correlating findings of GCC, RNFL and visual field deficits create a confident diagnosis of POAG, and the corresponding images facilitate clear patient communication about the significance of the patient's disease.
Image 1 (below) shows the symmetry report, which links the separate intra- and inter-test findings of the GCC and optic nerve head (ONH) scans. The image was annotated to show how quickly the patient can be educated about his condition and how these two maps are linked. The visual field losses shown in Image 2 (above) are easily compared to the arching pathway of the papillo-macular bundle.
Image 1. This symmetry report links the separate intra- and inter-test findings of the GCC and optic nerve head (ONH) scans.
Image 2. Visual field losses are easily compared to the arching pathway of the papillomacular bundle.
CASE 2: Lyme disease (or EMM-5) (inner/outer retinal layer findings)
Image 3 (below) shows the map of a 24-year-old female patient who sought LASIK correction for myopia. She concurrently complained of chronic fatigue. Her vision was best corrected to 20/20 OD and OS, but her night vision was weakened, which was presumed to be secondary to her progressive retinal thinning. A retina protocol was run with the SD-OCT, and subsequent retinal photos were taken. While the retinal photos were unremarkable, image 3 shows full retinal thinning, which stimulated further testing and management. The patient was subsequently diagnosed as having chronic and smoldering Lyme disease. The original finding of retinal thinning was made before the diagnosis of chronic Lyme disease. Her moderate myopia and unremarkable reported medical history prompted monitoring of her retinal findings. The definitive diagnosis of Lyme disease was made through testing ordered by a new PCP. subsequent OCT analysis (shown) linked the retinal and neuro-ocular changes documented by the serial OCT images. The serial EMM5 findings (image 4, below) display a series of macular maps and statistics on a single screen.
Image 3. This image shows full retinal thinning.
Image 4. The serial EMM5 findings display a series of macular maps and statistics on a single screen.
The SD-OCT also captured a GCC scan, which depicted inner retinal thinning. The retina protocol with SD-OCT demonstrated the rapid retinal thinning, which stabilized after aggressive and prolonged systemic antibiotic treatments were initiated by a Lyme disease specialist.
CASE 3: Scleral contact lens evaluation (CL-cross line and CL-line scans)
It only takes a moment to realize that the anterior segment scan patterns produced via SD-OCT can be used to study features anterior to the eye, specifically precorneal lenses. Cross line scans at the contact lens' apex and line scans taken at the lens periphery and edges eliminate lingering doubt tied to a conventional slit lamp evaluation. An SD-OCT-assisted contact lens fitting creates a clear understanding regarding 100% of the lens clearance or bearing, as well as the location and degree of any needed lens modifications. Measurements are easily taken with the device's editing tools, which drastically improve the otherwise complicated fitting process. The SD-OCT eliminates the mystery of lens bearing or clearance and frequently eliminates the need for fluorescein stain, cobalt blue lenses and Wratten filters.
Image 5 (below) shows the apical clearance of an ICD 16.5 semi-scleral lens on an eye with a penetrating keratoplasty. The SD-OCT measured the vault of the lens on one of the two CL-cross-line captures. We then made fitting decisions based on the overall characteristics of the eye-lens-design goals.
Image 5. Shown is the apical clearance of an ICD 16.5 semiscleral lens on an eye with a penetrating keratoplasty.
Images 6a and 6b (at right) pair two line scans of the temporal edge of two lenses. Though there was not as significant as a difference in the fluorescein pattern between these two edge profiles, the OCT clearly shows the difference in limbal clearance and desired peripheral bearing of the second lens (bottom image).
Images 6a (top) and 6b. These images pair two line scans of the temporal edge of two lenses.
Efficient use of the SD-OCT
The delegation of testing and procedures is imperative in a successful practice. There is little argument that trained staff can perform visual acuities, color vision, tonometry, retinal photography and visual field testing. Through time, it is not uncommon for the paraprofessional to become proficient in performing some of these tasks as well. This can also be true with the SD-OCT, provided the practice has committed the time to not only provide training on the mechanics of the instrument, but also the anatomy and physiology of the eye so the technician can provide a thoughtful analysis. Other pearls for capturing the most useful information include:
► When using the corneal or retinal line scans to capture an off-axis image, rotate the orientation of the line, if possible, to include two “fixed benchmarks” so future line scans can map the same location.
► Utilize the cross line scan, which consists of two line scans on the X and Y axis with their intersection at the foveal pit. This scan frequently serves as a way to correlate the patient's BVA, allowing the technician to pursue retinal defects which were elicited during the fixation process, show the patient the phenomenal complexity of the pathology and finally enable you to appreciate the otherwise occult etiology for unexplained loss in BVA.
► The use of the EMM5 and toggling between the various options/indices helps direct your attention to the pathologically involved layer or zone.
Marketing your SD-OCT
In all of the above cases, the images and clarifications were shared with the patients' managing subspecialists as well as their primary care physicians. This sharing of information aids patient management and fosters trust among patients and subspecialists, which results in increased referrals for other patients who have ocular/vision complaints/needs.
For instance, sharing SD-OCT reports with the papilledema patient's neurologist effectively eliminates the historical management mystery associated with this disease. This results in the neurologist and his/her peers seeking your office for the same comanaged testing of similar patients.
In addition, the fitting of scleral lenses not only provides vision to those not otherwise eligible for contacts lenses, but there is a near limitless population of patients who benefit from these larger-than-corneal-diameter lenses. Because the OCT images make the fitting of these lenses significantly less complicated, many practices will find they can offer scleral lens fittings as a profitable specialty service.
Addressing patients and your practice
As you can see, the SD-OCT affords clinicians the ability to see what was previously not visible and resolve the etiology of unexplained vision loss. And certainly, addressing the patients' clinical needs should lead all considerations in the SD-OCT acquisition decision-making process. However, you must also link the decision to satisfying the questions surrounding return on investment. When one considers the significant opportunities to augment current practice procedures on an existing patient base, earn trusted referrals from outside resources and expand patient care (for example, adding scleral lens-related services), the economic justifications for adding SD-OCT technology to an optometric practice are plentiful. OM
|
Dr. Wilcox, proprietor of Wilcox Eye Center, has extensive training and experience in glaucoma treatment, cataract and refractive surgery comanagement and specialty contact lenses. To comment on this article, e-mail OM at optometricmanagement@gmail.com. |


