CLINICAL
contact lenses
Enable CL Wear in Medical Patients
Ensure patients who have ocular conditions can maintain wear.
JASON R. MILLER, O.D., M.B.A., F.A.A.O.
Many patients who desire contact lenses present with ocular medical conditions, such as dry eye disease and ocular allergies. Additionally, “silent sufferers,” or contact lens wearers who have a medical eye condition but don’t want to admit to it, fear their condition may prevent them from continuing to wear contact lenses.
Here, I discuss four steps you should follow so these patients can attain and remain in contact lens wear.
1 Identify any underlying condition.
During the comprehensive exam, be judicious in identifying possible contact lens complications. To accomplish this, include sign and symptom questioning on the patient history form, and when indicated, use vital dyes, such as sodium fluorescein and lissamine green to evaluate the ocular surface and eyelids for any potential source of contact lens irritation.
2 Choose a prescription drug carefully.
When prescribing a medication for short-term or long-term use, be aware of the adverse events associated with drugs that contain preservatives, such as benzalkonium chloride.
These adverse events: tear film instability, conjunctival inflammation, subconjunctival fibrosis, epithelial apoptosis, corneal surface impairment and subsequent ocular discomfort.
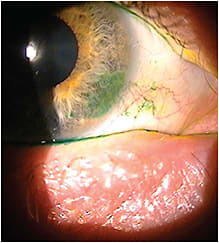
Subtle lissamine green staining on the cornea and conjunctiva of a contact lens-wearing patient could compromise the contact lens wearing experience.
The bottom line: You don’t want to prescribe anything that is going to induce toxic and/or pro-inflammatory effects on an already-compromised ocular surface.
3 Select the appropriate lens.
If the patient has ocular surface disease and/or chronic ocular allergies that may challenge successful contact lens wear, consider a daily disposable lens. As one-day contact lenses are fresh every day, they are ideal for this population.
Additionally, scleral lenses can offer another viable option. They can improve the visual outcome for patients who have irregular or complex corneas by improving the refractive surface through an RGP lens. These lenses vault the cornea and create an improved refractive surface.
4 Decide whether a break is warranted.
Having the patient take a temporary respite from contact lens wear can enable you to aggressively attack a specific condition and hasten healing.
For example, an acute allergic conjunctivitis patient could benefit from a break from contact lens wear and a prescription for steroids. Once the condition is under control, the patient could return to lens wear and use an antihistamine eye drop for the long-term, hopefully preventing the recurrence of the allergic conjunctivitis.
Mutually beneficial
By following the four steps outlined above, you facilitate successful contact lens wear in patients who have ocular medical conditions. Doing so creates patient satisfaction with your care, while preventing contact lens dropouts. OM
DR. MILLER IS A PARTNER IN A PRIVATE PRACTICE IN POWELL, OHIO, AND IS AN ADJUNCT FACULTY MEMBER FOR THE OHIO STATE UNIVERSITY COLLEGE OF OPTOMETRY. SEND COMMENTS TO OPTOMETRICMANAGEMENT@GMAIL.COM.


