MEDICAL MODEL
ulcers
The Right Approach
The diagnosis and the treatment rules for infectious cornea ulcers
NATALIE TOWNSEND, O.D., F.A.A.O. AND MARK T. DUNBAR, O.D., F.A.A.O., MIAMI, FLA.
Most clinicians would agree an infectious corneal ulcer should be cultured. Out in the trenches, that doesn’t always happen — especially with peripheral, or non-visually threatening, corneal ulcers. The reason: With the potency and therefore success of the fluoroquinolones (described below), many eye doctors don’t hesitate to empirically treat “non-visually threatening” corneal ulcers. (See “Is It An Ulcer?” page 25.) But is that the right approach?
When making a decision to treat an infectious corneal ulcer, you, as the clinician, must remember a good case history provides important clues regarding what the underlying causative organism may be.
For instance, a patient who suffers corneal trauma while working in their garden arouses suspicion of a possible fungal infection. That said, you must also keep in mind that profiling characteristics, including social and environmental factors (e.g. unclean water exposure, geographic location, contact lens wear, surgery or trauma) often prejudice clinicians about the underlying pathologic organism.
For example, while ulcerative keratitis associated with contact lens wear is most often bacterial, more recently atypical infections, such as acanthamoeba and fungus, have been implicated as well.
Here, we discuss how you should treat visually threatening and non-visually threatening corneal ulcers.
Visually threatening
Without question, a visually threatening corneal ulcer must be cultured. The risk of visual morbidity is too great to risk treating empirically. Because culture results are not immediate, however, clinicians should prescribe strong broad-spectrum antibiotics to ensure proper coverage. Your options:
▸ Aminoglycosides. The aminoglycosides tobramycin and gentamicin are effective broad-spectrum drugs, particularly against gram-negative bacteria, like Pseudomonas aeruginosa, Haemophilus influenzae and Moraxella species. These agents are concentration-dependent and, thus, believed more potent when administered at high concentrations. (A compounding pharmacy can formulate them.) For visually threatening infections, prescribe these antibiotics hourly, treating day and night, for the first 24 to 48 hours, and adjust frequency of use based on the infiltrate’s response at follow-up.
▸ Fluoroquinolones. The fluoroquinolones (i.e. besifloxacin 0.6%, ciprofloxacin 0.3%, gatifloxacin 0.5%, levofloxacin 0.5%, levofloxacin 1.5%, moxifloxacin 0.5% and ofloxacin 0.3%) are prescribed because of their strong potency and broad-spectrum of coverage. They have been particularly effective against gram-negative infections, while traditionally less strong against gram-positive bacteria, like Staphylococcus aureus and Streptococcus pneumoniae.
▸ Other. Fortified vancomycin, a glycopeptide antibiotic, may be prescribed to aggressively treat potential gram-positive microbes. Also, this drug is available through a compounding pharmacy and is usually reserved for moderate to severe disease to avoid an increase in vancomycin-resistant microbes.
A 42 year-old male presented with a paracentral mucopurulent corneal ulcer. The culture grew Pseudomonas aeruginosa. The patient was started on fortified Tobramycin (14mg/mL) hourly.
For large or sight-threatening corneal ulcers, clinicians can alternate between either a topical flouroquinolone or a fortified aminoglycoside and fortified vancomycin every hour to aggressively treat both gram-negative and gram-positive bacteria. Further, “around the clock” therapy may be recommended in these sight-threatening infections; patients should instill the drops during sleeping hours until the lesion shows improvement.
OTHER ARTICLES LIKE THIS: |
JANUARY 2012 |
Corneal Breach • page 48 |
MAY 2011 |
The Path of Least Resistance • page 52 |
JANUARY 2010 |
Treating Ocular Infection • page 32 |
If the culture identifies the corneal ulcer’s causative agent, sensitivities are conducted against the microbe to see which medication or drug family would provide the most effective treatment. In most cases, the microbiologist provides this report with the confirmed culture, or shortly after, so therapy can be adjusted. The aforementioned antibiotics are continued or discontinued based on the culture findings.
If the culture doesn’t identify an organism, have the patient continue the broad-spectrum drugs. As the patient responds to treatment, decrease the dosage as to not hinder repair until the causative agent is eliminated and the corneal epithelial defect is resolved. If the patient fails to respond to treatment or shows signs of corneal toxicity, modify the medication dosage, consider changing medications and/or culture the corneal ulcer again.
Peripheral
Non-visually threatening corneal ulcers may be treated with these medications:
▸ Fluoroquinolones. As the vast majority of all corneal ulcers are bacterial, such as P. aeruginosa, S. aureus, S. epidermis, H. influenza or Moraxella spp., most clinicians treat these ulcers with fluoroquinolones. Frequency of use is based on ulcer size, severity and proximity to the visual axis.
For example, small peripheral ulcers can be dosed at four to six times per day with a follow-up appointment in one to two days. The patient should show some improvement by day two. If you don’t see improvement, question the diagnosis and treatment regimen: Perhaps it’s not bacterial? Or, are you dealing with a resistant-strain of bacteria? At this point, obtaining a culture should be considered.
| Is it an Ulcer? |
|---|
How do you know whether a corneal lesion is in fact an ulcer and/or whether it is infectious? Perhaps the two most important criteria in evaluating a suspicious corneal lesion are (1) whether the epithelium is intact and (2) whether an infiltrate is present. If the lesion has an epithelial defect and an infiltrate is present, treat the lesion as an infectious corneal ulcer. A corneal lesion that has an infiltrate and an intact epithelium is not an ulcer, but it can progress to one if not treated correctly. If the lesion is active and an inflammatory cause is suspected, a corticosteroid or antibiotic/corticosteroid combination should be considered. A study that compared the initial clinical signs and symptoms of 50 contact lens patients who presented with corneal infiltrates and were cultured, revealed that culture-positive lesions were more likely to have an epithelial defect, moderate pain, excavation into the stroma, corneal edema, an anterior chamber (AC) reaction and purulent discharge.1 Culture-negative lesions had an intact epithelium, minimal pain, no AC reaction and no discharge. These lesions are often referred to as sterile. Sterile infiltrates are thought inflammatory and can develop from a variety of causes, such as contact lens overwear, contact lens material or solution sensitivity and staphylococcal hypersensitivity from blepharitis, among other causes. |
▸ Polymyxin B/trimethoprim. Polytrim combines polymyxin B for coverage of gram-negative microbes and trimethoprim for adequate gram-positive coverage. While effective against bacterial conjunctivitis, it also may be effective in small, peripheral ulcers. Further, it is approved for use in children older than two months of age and can be administered in the same dosage in adults if needed.
▸ Ointments. Bacitracin is a highly selective gram-positive ointment that may be used for antibacterial coverage at night, but should be used in combination with other antibiotics, not as the primary therapy. Similarly, erythromycin ointment may be used for nocturnal coverage, but not independently.
▸ Corticosteroids. If the lesion in question is indeed an ulcer, do not prescribe steroids as part of the initial treatment. The reason: At this point, the infection is still active, and steroids can delay healing. In addition, a steroid can worsen the corneal ulcer, especially if the ulcer is not bacterial. Fungal ulcers and epithelial herpetic lesions expand and worsen quickly when treated with topical steroids. Therefore, consider adding a corticosteroid to the antibacterial agent once the epithelial defect has improved and is nearly closed. This helps reduce inflammation and may reduce the risk of scarring.
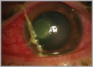
Mucopurulent ulcer and hypopyon in a 28 year-old contact lens wearer. Culture was positive for pseudomonas aeruginosa.
For sterile infiltrates thought inflammatory, a corticosteroid is the treatment of choice. Many clinicians rely on steroid-antibiotic combination drugs, as the antibiotic portion offers “coverage” even though there isn’t an infection. The fact is, the majority of these patients improve with or without the antibiotic, and that is largely due in part to the effects of the steroid.
Join the culture club
Fortunately, peripheral or non-site threatening lesions rapidly improve with the commercially available topical antibiotics and rarely require a corneal specialist. Though culturing is recommended, most of these ulcers don’t get cultured and heal uneventfully without any threat to vision. Central, or visually threatening corneal ulcers, atypical ulcers, like those that have indistinct borders or multiple lesions, and ulcers unresponsive to antibiotic treatment must be cultured, as the risk of vision loss is too great to not culture. OM
1. Stein RM, Clinch TE, Cohen EJ et al. Infected vs. sterile corneal infiltrates in contact lens wearers. Am J Opththalmol. 1988 Jun 15;105(6):632-6.
|
Dr. Townsend is a staff optometrist and director of the student externship program at the University of Miami’s Bascom Palmer Eye Institute. |
|
Dr. Dunbar is the director of Optometric Services and the Optometry Residency Supervisor at the University of Miami, Miller School of Medicine’s Bascom Palmer Eye Institute. Send comments to optometricmanagement@gmail.com. |


