CLINICAL
the back
What’s New in Retinal Treatments
A primer on the latest therapies for AMD, diabetic retinopathy, vitreomacular traction syndrome and retinal detachments
STEPHANIE FRANKEL, O.D., FT. LAUDERDALE, FLA.
Retinal treatments have undergone remarkable transformations through the years. Though staying up to date with these new treatments can be a daunting task, it is critical for both appropriate referral and proper patient education and retention.
This article outlines the most current treatments in AMD, diabetic retinopathy, vitreomacular traction syndrome and retinal detachments.
AMD
With advancements in the treatment of AMD, we can now slow the progression of and actually improve vision in cases of wet AMD. Our understanding of the pathophysiology of AMD has changed. Human genetics, molecular biology and environmental factors, such as smoking and obesity, all play roles in this disease. As our understanding of the disease has progressed, we have gained the ability to better target specific treatment options for our patients.
A recent study in Ophthalmology reveals the effects that the ARMS2 and CFH genes have on the outcome of patients taking supplements for AMD. Specifically, the study shows that certain combinations of these alleles, lead to maximum benefit from either zinc or antioxidants. More importantly, individuals in the study who had the CFH gene but no ARMS2 gene actually suffered from increased disease progression with zinc supplementation. As a result, physicians have begun to supply patients who have moderate to severe dry AMD with a vitamin regimen based on their genetic composition. (For more information, see the full study, “Genetic Influences on the Outcome of Anti-Vascular Endothelial Growth Factor Treatment in Neovascular Age-related Macular Degeneration.”) O.D.s can take an active role in the treatment of AMD by counseling patients on which nutraceutical agents they should take. (See “AMD Supplements” below.)
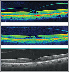
This figure shows OCT at baseline, (VA 20/25); one week (VA 20/30); and one month post injection (VA 20/20). Note the loss of outer retinal structures at one week resolved by one month.
PHOTOS COURTESY OF PETER K. KAISER, MD
Similar treatments are also beneficial for wet AMD. Specifically, researchers have discovered a link among genetics in known AMD risk-associated genes, such as the HTRA1 promoter and A69S, and the outcome of anti-vascular endothelial growth factor (VEGF) treatment in wet AMD. Some of these genes actually resulted in poorer visual outcomes with anti-VEGF medications. These findings have influenced many physicians to employ pharmacogenetics to AMD treatments.
Genetic testing and counseling are the new frontiers in the management of AMD patients. The possibility of predicting a disease’s behavior, speed of progression and response to certain treatments are of incredible value. The importance of genetic testing and early intervention by optometry cannot be underestimated. There are companies that provide genetic testing for your AMD patients, such as Macula Risk (ArcticDx), the AMD Risk Assessment Test (Asper Ophthalmics) and RetnaGene AMD (Sequenom/Nicox), that can allow us to accurately predict the odds that a patient will progress. This allows O.D.s to tailor follow-up appointments to see high-risk patients more frequently, in an attempt to catch their progressing AMD as early as possible.
Diabetic retinopathy
This is a common diagnosis in varying degrees, from mild non-proliferative to severe proliferative disease. In the mild and moderate stages, it is common for practitioners to stress blood sugar control, co-manage with the patient’s primary care physician and request frequent follow-up visits.
AMD Supplements
The following are commonly prescribed supplements used to treat moderate to severe dry AMD.
▸ Ocuvite (www.bausch.com)
▸ VisiVite (www.visivite.com)
▸ PreserVision (www.bausch.com)
▸ I CAPS (www.icapsvitamins.com)
▸ Viteyes (www.viteyes.com)
Intervention is necessary if the patient has macular edema. It is helpful to use fluorescein angiography to find these leaky vessels and then immediately refer for focal laser therapy, intravitreous injections of triamcinolone acetonide, (Triesence, Alcon) or anti-VEGF.
Recently, these intravitreal injections have become the mainstay in the treatment of diabetic macular edema. These drugs are superior in the management of diabetic macular edema vs. the use of focal laser in improvement in BCVA, says a recent PLOS ONE study. When comparing the efficacy of ranibizumab injection (Lucentis, Genentech) to bevacizumab (Avastin, Genentech) though, they were equal in efficacy. However, there is a significant price difference between the two drugs. Once again, proactive patient counseling about the prices of these agents should be undertaken. Also, we should talk to retinal specialists and discuss which agents they prefer and the cost for each.
Vitreomacular traction syndrome
This condition is historically managed with observation. Recently, the FDA approved a pharmacological vitreolysis for symptomatic vitreomacular traction syndrome (VMT). This could be of benefit to clinicians because spontaneous resolution of VMT is rare. In the past, we typically watched these patients, but now we have a more proactive therapeutic option, which requires practitioners to more actively follow and manage this disease.
A recent study from the New England Journal of Medicine revealed that patients with VMT who were treated with a vitreolytic agent had a higher resolution vs. placebo-treated patients. However, as with any new therapy, knowledge of which patients would most likely benefit from the treatment is key in determining its place in your practice.
In August 2014, a panel of retinal experts gave recommendations for the key criteria to consider when deciding whether a patient is a good candidate for this therapy: Patients who have mild symptoms should be observed; significantly symptomatic patients with broad VMT or VMT with an epiretinal membrane (ERM) would most benefit from a vitrectomy; patients with significant symptoms, narrow adhesions (<1500 microns), no ERM and who are phakic are the most likely to benefit from intravitreal injection of a vitreolytic agent. Although vitrectomy and observation are the important treatment options to consider, it is very helpful to have a pharmacologic tool in your back pocket. Possible cataract formation after vitrectomy in phakic patients and the rarity of spontaneous closure with observation should be considered when making treatment decisions for your VMT patients.
Retinal detachment
These repairs are an art, and most vitreoretinal surgeons acquire their own individualized approach. There are, however, certain strategy guidelines recognized in a large study in Acta Ophthalmologica that compared scleral buckling to vitrectomy in patients with retinal detachment. It was determined that though there was no significant overall difference between the two techniques, scleral buckling is recommended for phakic patients, and primary vitrectomy is recommended for patients who have pseudophakic eyes because of the high incidence of cataract formation in patients who undergo vitrectomy.
In addition, advancements have been made in the use of microincision vitrectomy. These microincisions use much smaller gauges (23 or 25 gauge) and do not require post-operative sutures. Therefore, this technique assists in reducing post-operative complications, such as pain and discomfort, and increases success rates. It is also less traumatic to the eye, and patient recovery time is faster.
For these reasons, it would be beneficial to recommend surgeons who offer this surgical technique when referring patients for retinal evaluation.
Staying informed
Keeping up with new strategies in retinal surgery will give your patients a higher level of trust in your knowledge — which will help to keep them in your chair. OM
| Dr. Frankel practices at Elgut Eye Care, a private ophthalmology practice in Ft. Lauderdale, Fla. Send comments to optometricmanagement.com. |


