CLINICAL
POSTERIOR
‘A BLISTER ON MY RETINA’
DID THIS PATIENT HAVE CENTRAL SEROUS CHORIORETINOPATHY OR AMD?
SHERROL A. REYNOLDS, O.D., F.A.A.O.
A 60-YEAR-OLD Caucasian female presented complaining of decreased vision OS for six months. A previous eye doctor told her, three months prior, that she had “blister-like swelling” on the retina of her left eye, but the patient failed to follow-up due to a move to another state. She denied symptoms of pain, floaters, flashes of light, trauma, systemic disease, medication use or smoking. Her BCVA was 20/20 OD and 20/50 with no improvement on pinhole OS. Pupils and ocular motilities were unremarkable. Confrontation visual field revealed a central scotoma and metamorphopsia on amsler grid testing OS.
Slit lamp examination showed no evidence of inflammation in the anterior or posterior chamber OU. Dilated evaluation revealed retinal pigmentary changes and a 2 disc-diameter, well-circumscribed collection of subretinal fluid with multiple “yellow” dot-like precipitates inferior to the macula OS. OCT showed a neurosensory ret-inal detachment with evidence of a choroidal neovascular membrane (CNVM) OS. No abnormalities or drusen formation were observed in the fellow eye.
So, was this patient’s “blister-like swelling” and CNVM a result of central serous chorioretinopathy (CSCR) or AMD? Here, I discuss the etiology, symptoms, clinical signs and diagnosis/management of CSCR to help you decide.
ICD 10
Central serous chorioretinopathy H35.719
Central serous chorioretinopathy of the right eye H35.711
Central serous chorioretinopathy of the left eye H35.712
ETIOLOGY
CSCR is the fourth most common retinopathy after AMD, diabetic retinopathy and retinal vein occlusions, according to Acta Ophthalmologica. The condition typically occurs in patients between the ages of 20 and 50. It is usually unilateral. However, bilateral involvement can occur in up to 40% of cases, mostly in elderly patients or those with underlying systemic disease such as systemic lupus erythematosus (SLE), according to Ophthalmology. CSCR in patients older than age 50 is more challenging, as the disease often resembles AMD with the development of a CNVM.
Men are affected by CSCR more than women, by about 88%, according to the American Journal of Ophthalmology, and the condition is observed more commonly in Caucasians, Hispanics and Asians and less in African Americans.
CSCR is characterized by detachment of the neurosensory retina, caused by an accumulation of serous fluid between the photoreceptor outer segments and the retinal pigment epithelium (RPE) in the macular area. This, in turn, induces single or multiple areas of serous detachment. Although the exact mechanism of the condition is not understood, it is believed that a dysfunction in choroidal circulation and RPE with secondary damage to the outer retina is a cause, according to Retina.
The condition may be idiopathic or triggered by factors that cause elevated circulating cortisol and adrenaline levels, which elicit choroidal vascular dysfunction, according to Retina. As a result, factors such as stress, type A personality, steroids or antibiotic use, sympathomimetic agents (such as pseudoephedrine), erectile dysfunction medications, alcohol and tobacco use and pregnancy have been identified. Hypertension, autoimmune diseases, such as SLE or sarcoidosis, helicobacter pylori infection, obstructive sleep apnea and Cushing’s syndrome are additional risk factors for CSCR.
CSCR is classified as either acute (the most common type) or chronic based on duration and clinical presentation. Chronic disease often looks like AMD or can be complicated by CNVM.
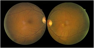
Note the retinal pigmentary changes and 2 disc-diameter, well-circumscribed collection of subretinal fluid with multiple “yellow” dot-like precipitates inferior to the macula OS.
SYMPTOMS
Symptoms depend on the size, severity and chronicity of CSCR. Some patients with mild disease may be asymptomatic, while others present with:
• Decreased vision
• Central scotoma
• Color vision disturbance
• Metamorphopsia
• Micropsia
• Migraine-like headaches
CLINICAL SIGNS
• Absent foveal light reflex
• Central yellow spot corresponding to increased visibility of xanthophyll
• Choroidal neovascular membrane
• Hyperopic refractive shift
• Mild afferent pupillary defect (severe case)
• RPE pigmentary changes (atrophy or loss, mottling and clumping)
• Serous RPE detachment
• Subretinal fibrin precipitates (multiple, yellow-white, dot-like condensations)
• Transparent “dome or blister-like” neurosensory retinal detachment
DIAGNOSIS/MANAGEMENT
Obtaining a thorough medical history, checking the patient’s medication (both prescription and OTC) history, blood pressure and obtaining a medical work-up for the aforementioned conditions aid in a definitive diagnosis. If the patient uses steroids, the steroids should be tapered or discontinued, and lifestyle changes should be recommended, especially for patients under stress or who have type-A personality, as mentioned above.
Additional tests that help in the proper diagnosis:
• Amsler grid and 10-2 visual field test. This allows for the identification of metamorphopsia and central scotoma, which are prominent symptoms of CSCR. Central 10-2 program reveals decreased macula sensitivity or depressed central field in proportion to the retinal elevation, which reflects both subretinal fluid and edema in the neurosensory retina.
• Enhanced-Depth Imaging (EDI) OCT. This shows increased subfoveal choroidal thickness in some patients with CSCR as compared with normal eyes.
• Fundus autofluorescence (FAF). HyperFAF is observed in areas of neurosensory detachment in CSCR and correlates with lipofuscin accumulation and debris or subretinal fluid. HypoFAF is observed from RPE loss.
• Fluorescein and indocyanine green angiography (ICG). The first can show the “ink blot” pattern of leakage or the classic “smoke stack” appearance associated with pinpoint focal RPE leaks. ICG angiography may demonstrate dilated choroidal vasculature corresponding to the site of CSCR.
• Macular microperimetry. This enables the testing of macular sensitivity and function, which is decreased in CSCR patients. It may be beneficial as well in determining treatment response (improvement in macular sensitivity).
• Multifocal electroretinography (mfERG). This may be useful in evaluating functional changes, such as persistent metamorphopsia or micropsia, even when CSCR has resolved and VA is 20/20. Depressed b-wave amplitude is observed in the area of active or recent CSCR.
An OCT image revealed a neurosensory retinal detachment with evidence of a choroidal neovascular membrane OS.
• OCTA. This enables the detection of altered choroidal flow as well as CNVM in eyes that have chronic CSCR.
• Retinal photography. This is used to document clinical findings, changes through time and for patient education.
• SD-OCT. This allows for the evaluation of CSCR clinical signs, including neurosensory or subretinal fluid, intraretinal cystic changes, diffuse RPE loss and thinning/discontinuity of the inner segment/outer segment line. Hyperflective dots, which represent phagocytosed photoreceptor outer segments and thickened choroid in the areas corresponding to the neurosensory detachment, can also be observed.
CSCR patients should be scheduled for a three-month follow-up visit, at which it can be determined whether the condition is acute or chronic. If the condition spontaneously resolves at the three-month visit, it is acute, and the patient’s VA returns to 20/25 or better. If, however, the patient’s vision deteriorates, CNVM develops or the condition lasts longer than three months, refer to and co-manage the patient with a retinal specialist.
Treatment options for chronic CSCR include anti-VEGF injection, focal laser photocoagulation and photodynamic therapy.
CSCR recurrences are seen in up to 50% of patients within the first year of onset, according to Retina. If there is recurrence or if the fellow eye suffered from permanent visual loss, due to a previous episode of CSCR, the patient should also be co-managed with a retinal specialist.
THE ANSWER
If you diagnosed this patient as having chronic CSCR with a CNVM, you are correct! She was co-managed with a retinal specialist, and FA confirmed a CNVM. The patient was treated with an intravitreal bevacizumab (Avastin, Genentech) injections OS.
At one-month follow-up, her vision improved to 20/30 with reduced macular edema on SD-OCT. She received additional injections, and her vision stabilized at 20/25 OS with resolution of CSCR and CNVM. She is being monitored every three months.
CSCR is a common condition that can lead to visual impairment. Identifying and distinguishing CSCR is important in preserving vision. O.D.s play a vital role in early diagnosis, prompt treatment, follow-up care and patient education of CSCR. OM
| DR. REYNOLDS is an associate professor at the Nova Southeastern University College of Optometry and clinical preceptor/attending in the college’s diabetes and macular clinic. She is a fellow of the Optometric Retina Society and chairperson for the Florida Optometric Association Healthy Eyes Healthy People Committee. Comment at tinyurl.com/OMcomment. |


