UTILIZE OFFICIAL SUMMARY REPORTS FOR COORDINATED CARE
A 46-YEAR-OLD white female presents to the office with mild complaints of decreased vision at near for the last year. Past medical history reveals diabetes mellitus, Type II, for 3 years. The patient is unaware of her last fasting blood sugar or HbA1c. She has been taking metformin to control the condition. She says she has never had a dilated fundus exam and reveals no pertinent ocular history.
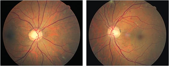
BCVA is 20/20 OD, OS and 20/30 OU at near. All preliminary testing is within normal limits. Manifest refraction reveals a +1.00sph add OU. Slit lamp evaluation does not show any relevant pathology. Dilated fundus exam reveals numerous cotton wool spots OU, in addition to a few exudates OD and some scattered retinal hemorrhages throughout the posterior pole OU. (See photos, p.46.) SD-OCT reveals no associated macular edema OU. The periphery is intact and flat 360° OU. The patient is diagnosed with moderate non-proliferative diabetic retinopathy without diabetic macular edema.
How do you properly communicate your findings to her primary care physician?
1 GATHER CONTACT INFORMATION
Compile a list of all the patient’s doctors, so you can provide a summary report or referral form. This can be done by gathering it directly from the patient. In the case of incomplete information, gather what you are able, and use a search engine, such as Google, to complete it. Proper communication with the interprofessional team is best accomplished through summary reports or referral forms. A summary report should be sent to all those participating in the patient’s care, which, in this case, may include, but is not limited to, internist, endocrinologist, podiatrist, etc.
Guidelines for Reports
- Place the report on business letterhead
- Include pertinent patient information: full name, date of birth and contact information
- Be clear; do not use abbreviations
- Be concise; stick to the key findings
- Describe any changes from previous exams
- Have the complete diagnoses and recommendations/plans
- Include any copies of tests performed (i.e. VFs), if necessary
- State whether you have follow-up date scheduled
- Say “thank you,” if a doctor refers you a patient
- State the reason for the referral (if it is a referral form)
2 WRITE REPORTS
Summary reports or referral forms can be given to the patient to deliver to his or her doctors, mailed or faxed to the doctors. (EHR systems help to facilitate many of these forms.)
When creating summary reports, it is crucial to be short and to the point, and include both your diagnosis and plan. You also want to follow general guidelines to facilitate communication. (See “Guidelines for Reports,” above.)
All letters need to be tailored for the particular inter-professional sharing care of your patient. For example, when writing a letter to an internist about a patient who has diabetes, the letter should state that a dilated “or retinal” examination was performed. Additionally, the staging of the disease and presence or absence of macular edema should also be mentioned. The plan of care and follow-up steps should be emphasized.
To further bridge the communication gap, if a patient misses his or her appointment, a follow-up call to re-schedule the appointment should be considered, in addition to making the referring doctor aware that the patient failed to adhere to the recommended referral.
REPORTS BUILD YOUR NETWORK
A bonus is that these reports can also be used as a marketing tool. Summary reports help to introduce you to other healthcare providers — those new doctors introduced to you during patient treatment — and can be used to educate providers regarding your skills, instruments and capabilities, placing you within the inter-professional healthcare team. OM


