HAVE A PROCESS IN PLACE FOR REFERRAL, WHEN PATIENT CARE REQUIRES IT
MR. JONES presents for his three-month follow up on his dry AMD. He has no complaints or changes since his last visit, at which point his BCVA was 20/30 OD and 20/40 OS.
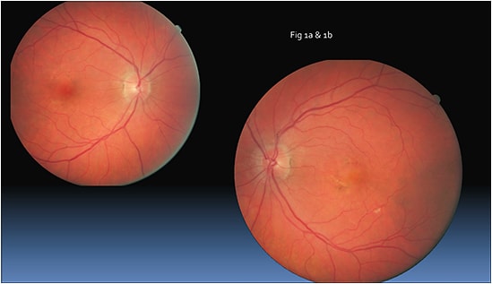
Dilated fundus exam shows pigmentary changes and drusen OU (Figure 1a and 1b). SDOCT OS shows intraretinal fluid, pigment migration into the intraretinal space, disruption of the retinal pigment epithelium (RPE) and a hyper-reflective lesion above the RPE (Figure 2).
As this patient has converted to wet AMD, what steps should you follow to comfortably refer him, among others who have retinal conditions, to a retinal specialist for intervention outside your scope of practice?
GET TO KNOW THEM
Become familiar with the retinal specialists in your vicinity, as well as their areas of expertise (oncology, uveitis, etc.) and mode of practice.
When it comes to referring a retinal disease patient to a retinal specialist, there are a number of factors that may be taken into account: your comfort level, experience/skills, diagnostic modalities available and patients’ insurance. (The most common conditions referred to a retinal specialist are listed in “Commonly Referred Conditions,” p.40)
It is crucial to get a patient to the proper retinal specialist in order to ensure a prompt exam.
In addition, identify which insurance panels the specialist participates in, and become familiar with the referral process: Does he or she need a primary care physician referral? Does the patient have to see an ophthalmologist first?
Once a relationship is established, it may help to make these specialists aware of the capabilities and diagnostic modalities available in your practice. This communication may aid in maximizing proper referral in future cases.
KNOW “STANDARD OF CARE”
The legal dictionary defines standard of care as “the caution that a reasonable person in similar circumstances would exercise in providing care to a patient.” In other words, the customary practice for the average physician.
Become familiar with the standard of care for retinal disease, so that you may refer when necessary.
CONSIDER THE URGENCY OF THE CONDITION
The urgency of the condition is what dictates the time frame for the appointment. For example, a retinal detachment with macula “on” is an immediate referral, while a symptomatic inferior retinal break without concomitant fluid may be categorized as urgent rather than an emergency. Today’s diagnostic modalities, such as SDOCT, can help determine the need for a more urgent referral.
For example, a patient being followed for AMD who shows signs of early conversion to wet AMD, such as intraretinal fluid, subretinal fluid or an anomalous hyper-reflective area within the vicinity of the RPE (Figure 2) on SDOCT, should be evaluated by a retinal specialist within 72 hours.
Any co-exiting hemorrhage may be considered more urgent. The sooner the disease is treated, the better the visual outcome.
Commonly Referred Conditions
- Retinal detachment and variable retinal breaks
- Macular edema (may be associated with non-responsive cystoid macular edema, vascular diseases like diabetic macular edema and branch retinal vein occlusion, etc.)
- Wet AMD or other causes of choroidal neovascular membrane
- Suspicious lesion
- Posterior segment uveitis/suspicious endophthalmitis
- Maculopathies (epiretinal membrane, macular holes, etc.)
- Neovascularization of the optic disc or retina (such as in cases of proliferative diabetic retinopathy)
MAKE THE REFERRAL
If possible, have a staff member call the retinal specialist’s office to make the appointment. This increases the likelihood of the patient showing up for the appointment.
Before the patient leaves, provide him or her with a concise letter describing the clinical assessment. Include a copy of the patient’s SDOCT. (This printout can also be used for patient education regarding his or her condition, reason for referral and importance for immediate referral. An educated patient is far more compliant with the referral process.) These items may be faxed to the retinal specialist’s office to ensure the doctor receives them.
CASE OUTCOME
The retinal specialist confirmed the findings on Mr. Jones were consistent with conversion to wet AMD, and he started anti-VEGF therapy. (Figure 3a and 3b). OM


