AS OPTOMETRISTS, we are the eyecare gatekeepers.
As such, we have a distinct ability to diagnose AMD early, initiate measures to safeguard vision, and monitor patients for changes in their ocular health status that would require additional intervention. We can accomplish these goals by using the latest technologies, such as dark adaptation testing (AdaptDx, Maculogix), ultra-widefield fundus imaging (Optos), and measurement of macular pigment optical density (MPOD) (Mapcat SF test, Guardion Health Sciences) and contrast sensitivity. Where appropriate, we can recommend relevant lifestyle changes as well as nutritional supplementation with carotenoids to restore macular pigment to protective levels. And, staying engaged in our patients’ current and future well-being, we can follow them closely with objective and subjective metrics.
We all have patients who would benefit from the knowledge that they have AMD at any stage, including subclinical AMD. Armed with this knowledge, patients can take steps to help prevent poor outcomes and promote lasting functional vision. The following case perfectly illustrates this point.
CASE 1: SUBCLINICAL AMD
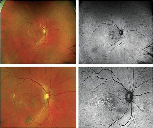
A 75-year-old patient presented for a routine examination. Visual acuity was 20/20 in both eyes, and the only complaint was difficulty seeing at night. Additional testing revealed a low (.14) macular pigment optical density, and contrast sensitivity was decreased compared with normal. Testing with the AdaptDx instrument revealed abnormal dark adaptation (as measured by Rod Intercept). Fundus imaging documented a normal macula. However, optomap ultra-widefield retinal imaging using Daytona (Optos) showed some degeneration in the retinal periphery.
JEFFRY GERSON, OD, FAAO: The abnormal dark adaptation test result tells me this patient has AMD (Figure 1). The AdaptDx measures a proprietary parameter called the Rod Intercept (RI), which is the time to recovery of scotopic sensitivity, i.e., night vision, to a benchmark level. As such, it provides an objective measurement of retinal function and a functional biomarker for early disease.
In a study by Owsley and colleagues, delayed dark adaptation in older adults with normal macular health was associated with the development of early AMD 3 years later.1 Numerous clinical studies have shown that dark adaptation is impaired in the earliest stages of AMD and becomes increasingly impaired as the disease progresses. A multicenter study involving researchers and patients at several large academic institutions established that the AdaptDx can distinguish between healthy subjects and subjects with AMD across the entire spectrum of early to advanced disease.2 The diagnostic sensitivity of the test in the study was 90.6% and the specificity was 90.5%. The test proved to be reliable as well, having a test-retest agreement rate of 94.7% between the first and second visits.
Based on our experience in my practice, dark adaptation testing isn’t difficult for the patient or the technician, and the result is easy to interpret: an RI below 6.5 minutes is normal and an RI greater than 6.5 minutes is an early indicator of macular disease. We can perform a screening test and an extended test. If a patient doesn't successfully complete the rapid test in less than 6.5 minutes, he should return in a few weeks to complete the extended test. The extended test takes between 6.5 and 20 minutes, depending on the severity of retinal damage.
The dark adaptation result in this patient is diagnostic for AMD (subclinical AMD, in this case) and the patient is at risk of progressing, as evidenced by the low MPOD (0.14, when 0.4 or higher is considered normal). The carotenoids that make up the macular pigment (lutein, zeaxanthin, and meso-zeaxanthin) are believed to protect against the development and progression of AMD.3 The MPOD test takes only a few minutes to perform and doesn’t require dilation, making it a simple addition to a complete ocular examination. The changes observed in the retinal periphery with ultra-widefield imaging were another finding of interest in this patient (Figure 2).
ANTHONY CLARK, OD: It’s interesting that during the quarter of a century I’ve been in the exam room, I’ve heard patient after patient tell me how it had become difficult to drive at night. I didn’t have much to say about that in the past, especially when their visual acuity was 20/20. But today, we know better. We know there are reasons for poor night vision and we can find them — and then we can do something about it.
STEVEN FERRUCCI, OD, FAAO: I agree with the assessment that this patient has subclinical AMD. While retinal damage isn’t evident on physical exam yet, and the visual acuity is good, the dark adaptation test indicates that damage has occurred. The low MPOD level isn’t surprising in that context. The patient should be counseled accordingly. I would point out the lifestyle changes that could be beneficial, such as cessation of smoking if the patient smokes, reducing body mass index, proper UV protection, and so on. I would recommend nutritional supplementation as well.
DR. GERSON: It’s important to note that there is a difference between tests for risk and ones for diagnosis. MPOD tests a risk factor for AMD, where dark adaptation tests for presence of disease. MPOD can potentially be normal with or without AMD, whereas dark adaptation is abnormal in AMD, and only in rare cases abnormal in the absence of AMD (if somebody has a Vitamin A deficiency or macular dystrophy/degeneration). Contrast sensitivity is a metric used for monitoring vision with or without disease, but tends to be decreased in people with AMD.
Nutrition Supplementation as Treatment for AMD
DIANA SHECHTMAN, OD, FAAO: Patient education is important in this case. Nutritional supplementation to restore the carotenoids that comprise the macular pigment would be important, too. Johanna Seddon, MD, was a pioneer in this area of research, showing that higher intake of such crucial carotenoids is associated with reduced AMD risk, and many others have reported similar findings.4,5
DR. GERSON: Absolutely, supplements should be part of treatment for any stage of AMD. For patients at high risk of developing advanced AMD, an AREDS-type formulation would be appropriate. In the case of this patient, as Drs. Shechtman and Ferrucci said, in which the AMD is subclinical but the MPOD is below normal, carotenoids to support the macular pigment are advised. This leads me to a relatively new concept in nutritional supplementation: medical food. According to the FDA, a medical food is “a food which is formulated to be consumed or administered enterally under the supervision of a physician and which is intended for the specific dietary management of a disease or condition for which distinctive nutritional requirements, based on recognized scientific principles, are established by medical evaluation.” For example, Lumega-Z (Guardion Health Sciences) was created specifically to replenish and restore the macular pigment.
The use of medical food is doctor-directed, meaning that the patient receives it from the doctor, or the doctor orders it for the patient. Therefore, it’s somewhat controlled — not something a patient could grab at a drug store. Essentially, a medical food is somewhere between a prescription and an over-the-counter product. It’s an option available to us, and a way to help control the quality of what our patients use.
DR. FERRUCCI: Medical foods also entail a bit of exclusivity, which can be a differentiator from a practice management standpoint.
DR. SHECHTMAN: One thing to keep in mind when recommending supplementation is how difficult it can be to swallow large pills. This is particularly an issue for patients who are older. In addition, some patients are already taking a multitude of pills, which could affect compliance. Thus, it may be wise to consider nutritional supplements in liquid form in some cases if they are available.
DR. GERSON: An additional point worth mentioning about carotenoid supplementation is that it has been shown to help people see better regardless of whether they have AMD. In the Central Retinal Enrichment Supplementation Trials (CREST), for example, patients with low retinal concentrations of lutein, zeaxanthin, and meso-zeaxanthin who consumed a daily supplement of those carotenoids had improved contrast sensitivity from baseline compared with those who received placebo.6 Furthermore, the improvements in contrast sensitivity were in line with the accompanying increases in the retinal concentrations of the three carotenoids. So, carotenoid supplementation to enhance the macular pigment is beneficial to vision not only in eyes with early AMD, but also in healthy eyes.
DR. SHECHTMAN: Do any of you sell nutritional supplements in your practice? When I worked in a university setting, we did not sell any product from the college. Yet at our retina practice, we offer a variety of supplements to our patients. This helps ensure both compliance and that the patient is taking the proper supplementation. We would never have our glaucoma patients choose their own prostaglandins.
DR. FERRUCCI: Similarly, with contact lenses we don’t tell patients that any contact lens will do. We make a recommendation based on what we believe is the best choice. Why would we do otherwise with nutritional supplements?
Rethinking AMD Classification in Light of a Subclinical Entity
DR. GERSON: Our current knowledge about the significance of abnormal dark adaptation and the ability to measure and monitor this metric sets a foundation for a paradigm shift in AMD classification. To the familiar grading scales consisting of early, intermediate, and advanced disease, we can add the category of subclinical (Figure 3). For example, as in the previously described case, we would consider an eye with no drusen or no retinal pigment epithelium (RPE) pigmentary abnormalities but with abnormal dark adaptation to have subclinical AMD.
The good news is that we’ve detected the problem early and were able to intervene, beginning with further investigation, including the measurement of MPOD. Further, we can counsel the patient about modifiable risk factors and nutritional supplementation and ensure him or her that we’ll watch for any changes.
Subclinical AMD is AMD. We should approach it the same way we approach glaucoma. When we see signs of optic nerve damage, we treat; we don’t wait until we see a nasal step on perimetry. Similarly, when we see subclinical AMD, we should do something about it. The time to do something is at the first sign of disease.
Monitoring Patients with Subclinical AMD
DR. GERSON: Can MPOD testing be used to monitor patient compliance with recommendations for carotenoid supplementation or to track the absorption/efficacy of supplementation?
DR. SHECHTMAN: MPOD testing is a valuable monitoring tool. I used it in the university setting. Just as patients want to know their visual acuity or their intraocular pressure, they like having another number, such as an MPOD number to help them track their progress. For the doctor, it’s a great representation of whether a patient is using the recommended supplements.
DR. GERSON: And what about dark adaptation over time? Can that metric be used for patient monitoring?
DR. FERRUCCI: Yes. Dark adaptation can be very useful for following AMD patients. I classify AMD based on the well-established scales, for example, drusen size and drusen number. That helps me determine how often I want to see a patient. Dark adaptation testing helps in that regard as well, and especially at very early disease stages, it figures into how I counsel a patient.
I also like that dark adaptation is an objective test that allows us to monitor for improvement or worsening with an actual number. Patients tend to respond positively to that.
DR. CLARK: Patients usually take their vision seriously, and losing it is a real fear for many of them. Many have a friend or relative who has lost vision to AMD. The ability to provide metrics and offer steps that patients can take on their own empowers them and gives patients a sense of ownership over the disease. In other words, the diagnostic test is of much greater value when it’s coupled with a solid plan for treatment and follow up.
All of those aspects are crucial and have a bearing on how those patients are going to do over the next 10 to 15 years.
DR. GERSON: How do you handle follow-up timing for patients with subclinical AMD? For me, it depends on the patient. If patients seem very concerned after we talk, I tell them we can check them again in 6 months. For others, I say they’re fine to come back in a year. When they return, whether it’s in 6 months or a year, I repeat all of my testing to determine where we stand.
When I perform the first dark adaptation test, I use the rapid screening version. I have patients come back for a follow-up visit, at which time I perform the extended version. I correlate the rapid screening to a screening visual field test and the extended version to a threshold visual field test.
Also, my standard of care is to assess dark adaptation for every patient older than 60. I don’t like to see patients older than 60 without this test now. I will also perform the test for younger patients if they have a family history of AMD or if they have a night vision complaint.
DR. SHECHTMAN: With regard to follow-up timing, if we identify a patient with subclinical or early AMD and don’t recommend they come back within a year, we’re sending the exact opposite of the message we want to send. If we don’t clearly demonstrate that what we’ve seen is something that must be monitored, we’re basically ignoring it and sending a false message to the patient that it’s nothing to worry about.
Considerations for Practice Economics
DR. SHECHTMAN: Are the dark adaptation tests billable?
DR. GERSON: Yes. Dark adaptation testing is covered by insurance. The screening test can be billed when the patient has a night vision complaint, and the extended test can also be billed using a variety of ICD-10 codes. Reimbursement level, of course, will differ depending on your practice location. I believe the national average for reimbursement is $64.
DR. CLARK: I’m a big fan of screening tests and imaging in optometric practice. For example, we have an Optos instrument in each of our 15 clinics. We perform the optomap ultra-widefield imaging free of charge for every child under the age of 6. We also obtain the images with every Medicaid patient because everyone in our practice agrees that we’re better doctors when we have the pictures. For all other patients, we offer the ultra-widefield imaging screening à la carte as part of the work-up and we charge for it. We have a 75% to 77% capture rate on this month after month, year after year. In one of our clinics, 85% of the patients typically opt for the test.
DR. GERSON: MPOD testing isn’t covered by insurance at this time, and I personally don’t charge patients for the test. That’s mainly because I usually perform the test in conjunction with seeing them in the exam room, so I’m generating revenue anyway. Most practices charge for it as far as I know. Can it be profitable?
DR. SHECHTMAN: Yes, MPOD testing can be profitable in one’s clinic. We charge a nominal fee of $20, when indicated.
DR. GERSON: I can see how it could be profitable either directly via a fee or indirectly because when we discover patients at risk for AMD development or progression, we see them more frequently and perform a different mix of tests than we would have otherwise.
DR. CLARK: Many patients come to optometry practices for routine exams that are covered by vision plans. If we find something beyond that — be it glaucoma risk, severe dry eye, subclinical AMD, or something else — what’s the best course of action?
A solid strategy is to have the patient back for a separate visit to perform the necessary testing and imaging, which is likely billable through the medical insurance. If the medical issue is pressing, you could shift gears that day, take care of the medical issues, and have the patient back for the routine aspects of the exam. That said, I tend not to take that route if I can avoid it because patients don’t seem to like it.
DR. GERSON: Patients tend to comply with a follow-up visit when the recommendation is based on an image or other test that has a quantified number associated with it or when there is understandable evidence of the need.
DR. SHECHTMAN: Perhaps optometrists can adopt a practice that’s common with primary care physicians. Even though patients would like to know where they stand by knowing the results of lab tests immediately, results rarely arrive right away. Patients learn about lab results at the next visit, after the primary care physician has evaluated them. Patients perceive value in that. The doctor had to look over the data, interpret it, determine how the patient is doing, and then have the patient back to explain and discuss.
The bottom line is when we, as optometrists, take extra steps to improve the care we provide and add value for our patients, many patients are all for it. They want to be active participants in their well-being. ■
CASE 2: AUTOFLUORESCENCE IN THE MACULA AND RETINAL PERIPHERY
A 64-year-old female with early cataract presented to the optometrist’s office for an examination. She had no vision complaints and her visual acuity was 20/30 OD and 20/25 OS; optomap ultra-widefield retinal imaging appeared to be unremarkable in the right eye. However, autofluorescence (optomap af)in that eye revealed small, whitish spots indicative of oxidative stress (Figure 4). Zooming in on the posterior pole revealed a network of fluorescing spots throughout the posterior pole and around the macula, which was indicative of AMD. The patient was counseled about dry AMD and agreed to future follow-up visits for monitoring of the condition.
DR. CLARK: I shared this case because it illustrates the value of autofluorescence in my practice. In this patient, it provided the first indication of AMD-related retinal changes. The findings enabled me to educate the patient on the whole range of steps she could take to minimize her risk of disease progression, which, as we’ve been discussing, may include a host of lifestyle changes as well as nutritional supplementation. Also, as it does in every case, the Optos autofluorescence function enabled me to efficiently evaluate both the posterior pole and the retinal periphery.
DR. SHECHTMAN: Autofluorescence technology may play a big role in helping your patients avoid AMD progression. We see AMD that has progressed to cause a severe decrease in visual acuity all too often in our retina practice. Having another functional assessment in our arsenal can help in early diagnosis and prompt intervention.
DR. CLARK: Finally, we’re in a much better position today than we were in the past to diagnose, advise, and monitor for changes. In addition to the autofluorescence testing, dark adaptation testing and MPOD measurement have made a significant difference.
DR. GERSON: Exactly. The most important goal in AMD is to treat early. And to treat it early, you have to know it’s there.
DR. CLARK: Another aspect of this that’s worth mentioning is whether this patient should have been referred to a retina specialist at this point. I didn’t refer the patient because nothing about the complete evaluation indicated exudative macular degeneration. I believe dry AMD is an optometric disease; refer when wet.
DR. SHECHTMAN: When referring a case, physicians should consider whether they feel comfortable continuing to follow the patient, accessibility to a retina practice, and whether they have the proper diagnostic modalities. I’m sure if you had any doubts, you would have referred the patient to a retina specialist.
There are some newer technologies in the pipeline, though, that could potentially alter this scenario. OCT angiography is capable of providing details about the retinal vasculature without the use of dye, including visualization of what is now known to be subclinical choroidal neovascular membranes.
DR. GERSON: Returning to the value of autofluorescence for a moment, in the case Dr. Clark detailed, abnormalities outside the macula led him to take a closer look at the posterior pole. This happens in my practice quite frequently. In one common scenario, I may see darker-than-normal tissue on the ultra-widefield autofluorescent image (Figure 5). Darker-than-normal areas indicate tissue that’s essentially metabolically dead; it’s not functioning. Something has happened. Bright areas, on the other hand, indicate tissue that is metabolically stressed or overactive, indicating an area that needs attention because something is occurring there.
So, fortunately, for the patient in Figure 5, no bright spots were seen. However, the evidence of previous disease activity visible in the periphery should prompt us to take an even closer look at the macula.
Abnormalities in the periphery should also prompt us to consider seeing the patient again sooner, perhaps in 6 months rather than a year. And it may be the right time to talk to the patient about the significance of the findings and whether there are any steps to be taken in light of them. Additional testing can also be performed to obtain a more complete understanding of the situation. As we’ve been emphasizing, the goal is earlier detection of AMD, so recommending that patients take action to protect their vision at the very first sign of that is advisable. ■
CASE 3: MODERATE AMD
The patient, a 74-year-old male former smoker, was diagnosed with moderate AMD (Figure 6). He was counseled about the disease and advised to take an AREDS nutritional supplement. He did not return for an examination until 5 years later. At that time, his visual acuity was 20/30 in each eye. The number of drusen had increased since his previous visit. The patient reported that he was having difficulty driving at night. Dark adaptation was severely impaired at 18.5, and contrast sensitivity was below normal. MPOD level was reduced at a density of .12.
DR. FERRUCCI: Also at this visit, after having been lost to follow-up for 5 years, the patient reported that he hadn’t been using the nutritional supplements because they weren’t making his vision better. But it’s important to note that when we recommend AREDS vitamins, we always explain that the main goal isn’t to improve vision, but rather to slow progression of the disease. What would you do next for him?
DR. GERSON: This patient would benefit from re-education regarding the supplements because they’re one of his only lines of defense at this point. Also, reminding the patient about important lifestyle changes would be very beneficial.
DR. CLARK: You showed us his fundus images from 2010 and 2016, which clearly show the increase in drusen. There could be high value in showing the patient the same images. “Here’s your eye 5 years ago and here it is today. Please come back to see us sooner next time.” The images and test results we have at our fingertips in modern practice are very useful for educating patients — perhaps this type of patient even more so. ■
CASE 4: PERIPHERAL DEGENERATIVE FINDINGS ASSOCIATED WITH AMD
An 82-year-old female was referred to the retina clinic by an optometrist. Geographic atrophy had caused severe vision loss in both eyes, but she had experienced further acute vision loss in the right eye 2 days prior Figure 7); optomap imaging revealed a vitreous hemorrhage in the right eye. Also evident in the fundus periphery of the right eye was large subretinal hemorrhagic pigment epithelium detachments. A diagnosis of AMD and peripheral exudative hemorrhagic chorioretinopathy was made.
DR. SHECHTMAN: The take-home point from this case is that if we’re not looking at the retinal periphery, we’re missing a great deal of information. AMD is not just a macular disease, and concomitant diseases can occur in the periphery. In this particular case, nothing could be done about the geographic atrophy. But, based on the peripheral findings, the patient may receive anti-VEGF therapy.
I would add, too, that optometrists play a role in the management of concomitant diseases of patients with wet AMD. This may include, but is not limited to, glaucoma, blepharitis, and refractive error.
DR. GERSON: Agreed, and with respect to the retinal periphery, ignoring it would be the same as not refracting our patients. If we’re not looking at everything we possibly can, we may be missing the boat.
This was shown in the AREDS2, OPERA sub-study involving ultra-widefield retinal imaging of eyes. Peripheral drusen were identified in 97% of eyes with AMD, and peripheral pigmentary changes were identified in 68% of eyes with AMD,7 indicating that peripheral involvement is an important part of the disease process.
We don’t know exactly what that means at this time. Perhaps, AMD starts in the periphery. At the very least, peripheral findings should prompt us to look more closely at the posterior pole and to evaluate other metrics at our disposal to create the fullest possible picture of the patient’s status.
DR. CLARK: Yes, peripheral findings are very important. In our clinics, we use the autofluorescence feature quite a bit, particularly in patients older than 50, and it’s clear that the peripheral retinal findings matter. Years before drusen are visible, an invisible layer of cholesterol starts to build up along Bruch’s Membrane. This blocks and impairs normal transport of nutrients, such as vitamin A, and causes oxidative stress and inflammation. When we do see the first drusen, it’s just the tip of the iceberg. The autofluorescence shows how that layering of cholesterol occurs all the way out to the periphery. Macular degeneration is not only a macular disease. It’s a retinal disease that has its biggest impact at the macula.
DR. GERSON: Exactly, the AREDS2 substudy images revealed that pathologic changes occur in the retinal periphery in eyes with AMD.7 Of 951 study eyes, 97% had drusen in the posterior pole. Of 163 control eyes, 48% had drusen in the posterior pole. Outside the posterior pole, 78% of study eyes and 21% of control eyes had drusen in the mid-periphery, and 64% of study eyes and 9% of control eyes had drusen in the far periphery.
DR. SHECHTMAN: I’ll play devil’s advocate and ask why drusen in the periphery matters.
DR. GERSON: It’s a “Which comes first, the chicken or the egg?” question. I don’t know that we have the answer yet. Therefore, because we don’t know, if we see one, we should look for the other.
Attacking a Leading Cause of Vision Loss from Every Possible Angle
DR. GERSON: We’ve covered quite a few important points in our discussion, the most essential being: 1) early detection of AMD is crucial, and we can improve our performance in that regard; 2) subclinical AMD is AMD; and 3) when we identify AMD in our patients, we need to help them do something about it.
None of these goals are as tall of an order as they had been in the past, because we have new diagnostic and monitoring tools and new knowledge of ways to slow the progression of the disease. For example, dark adaptation testing is proven to detect AMD up to 3 years before any clinical signs appear. We can use it to detect the presence of AMD as well as monitor its progression.
Ultra-widefield imaging provides a view of the entire retina, not just the posterior pole, which has implications for how we manage our patients. But with ultra-widefield imaging equipment, we can also obtain fantastic views of the macula, both in color and in autofluorescence. We also can test and follow macular pigment optical density. Levels below normal are a modifiable risk factor for AMD progression.
On the action and treatment side of the coin, we can counsel patients about the many changes they can make in their lifestyle to reduce their odds of losing vision to AMD. Nutritional supplementation, regardless of the stage of disease, is a key component. Emphasizing the importance of follow-up visits is also time well spent.
The technologies and strategies available to us today really do give our patients a better chance of success and a better chance of maintaining good vision. Those of us who participated in this discussion have taken advantage of the resources, and it has revolutionized the way we practice. We encourage our colleagues to do the same and set a new standard for care. When we do, we can combat a leading cause of vision loss with our eyes wide open, which is what our patients deserve. ■
REFERENCES
- Owsley C, McGwin G Jr, Clark ME, et al. Delayed rod-mediated dark adaptation is a functional biomarker for incident early age-related macular degeneration. Ophthalmology. 2016 Feb;123(2):344-351.
- Jackson GR, Scott IU, Kim IK, Quillen DA, Iannaccone A, Edwards JG. Diagnostic sensitivity and specificity of dark adaptometry for detection of age-related macular degeneration. Invest Ophthalmol Vis Sci. 2014;55:1427-1431.
- Sabour-Pickett S, Nolan JM, Loughman J, Beatty S. A review of the evidence germane to the putative protective role of the macular carotenoids for age-related macular degeneration. Mol Nutr Food Res. 2012;56(2):270-286.
- Seddon JM, Ajani UA, Sperduto RD, et al. Dietary carotenoids, vitamins A, C, and E, and advanced age-related macular degeneration. Eye Disease Case-Control Study Group. JAMA. 1994;272(18):1413-1420.
- Bone RA, Landrum JT, Dixon Z, Chen Y, Llerena CM. Lutein and zeaxanthin in the eyes, serum and diet of human subjects. Exp Eye Res. 2000;71(3):239-245.
- Nolan JM, Power R, Stringham J, et al. Enrichment of macular pigment enhances contrast sensitivity in subjects free of retinal disease: Central Retinal Enrichment Supplementation Trials - Report 1. Invest Ophthalmol Vis Sci. 2016;57(7):3429-39.
- Domalpally A, Clemons TE, Danis RP, et al.; writing committee for the OPTOS Peripheral Retina (OPERA) study. Peripheral retinal changes associated with age-related macular degeneration in the Age-Related Eye Disease Study 2: Age-Related Eye Disease Study 2, report number 12. Ophthalmology. 2017;124(4):479-487.
|
|
GHS is a health sciences technology company concentrating on cutting-edge ocular health protocols, including MapCat SF, which measures MPOD, and Lumega-Z, a nutritional supplement. For more information, visit guardionhealth.com . |
|
|
MacuLogix is a medical technology company that develops tools to aid eyecare professionals in the early diagnosis, monitoring, and treatment of AMD patients, including AdaptDX dark adaptometer. For more information, visit maculogix.com . |
|
|
Optos is a medical technology company utilizing the latest technology for the design, development, and manufacturing of ultra-widefield retinal imaging devices, including Daytona and California models. For more information, visit optos.com . |


