UWF imaging; genetic history helps suss out diagnosis
“Case Scenario,” illustrates how a specific device’s image(s) aided in patient management.
PATIENT
A 57-year-old white female who has high cholesterol and a family history of heart disease, diabetes, cancer, retinitis pigmentosa (RP), AMD and melanoma.
EXAM FINDINGS
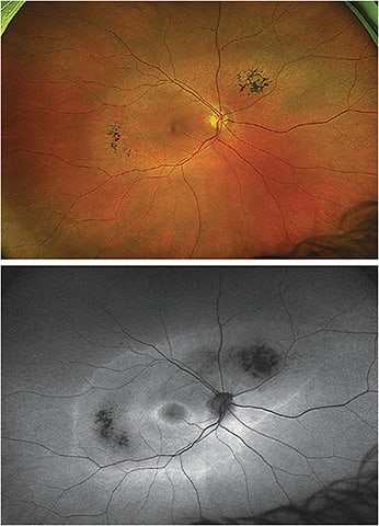
A routine exam included auto refraction, IOP measurements and Optomap Ultra-Widefield (UWF) imaging. UWF image revealed the ellipsoid zone was missing, sparing a little island of vision around the macula, in both eyes — evidence of pre-symptomatic RP.
APPROACH
Given current palliative treatments, the patient will be monitored annually. Consider VF testing, OCT and electroretinography. Regular literature searches for potential new treatment options will be conducted on an ongoing basis.
DIAGNOSIS
RP
MANAGEMENT
Ongoing monitoring
PATIENT CARE TIP
The combination of UWF imaging and a detailed family history can help facilitate a quick and accurate diagnosis.
CODING
N/A OM
CASE STUDY
SUBMIT YOUR IMAGES AT
bit.ly/CASESCENARIO
Tell us how an image from a specific diagnostic device aided in the care of a patient.


