The first line of care
While research on the most effective means of treating diabetic eye disease have evolved over the years, the OD is still, in most cases, the first line of care for these patients. With that in mind, we need to recognize the signs of diabetic retinopathy and refer the appropriate patients to retinal specialists for consideration of treatment.
First and foremost, all patients with diabetes should have a dilated retinal examination at least once per year, or more frequently if needed, based on presence of retinopathy. Further, they should be counseled at each visit on the importance of proper follow-up, as well as the importance of good glycemic and blood pressure control, to help reduce the chance of retinopathy.
Patients with severe non-proliferative diabetic retinopathy or worse should be referred to a retinal specialist to consider treatment with anti-VEGF agents, to decrease the amount of retinopathy and reduce the risk of vision loss.
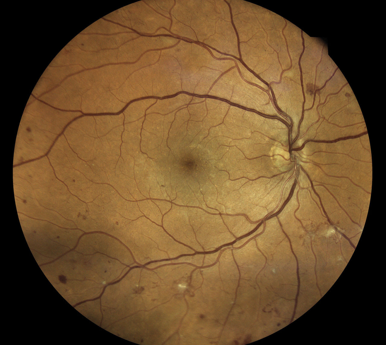
Lastly, patients with suspected diabetic edema should receive macular OCT scans, to aid the OD in determining whether edema is center-involved and referred to a retinal specialist for treatment, if indicated. For examples of clinical images demonstrating patients who should be referred to retina specialists, see Figures 1 and 2 at the top of this article. OM
Over the last several decades, the landscape of treating diabetic retinopathy and diabetic macular edema has shifted. Many of the landmark studies that provided guidance regarding treatment are over 40 years old, well before the advent of anti-VEGF agents.
In this article, we look at how the addition of anti-VEGF has changed treatment by examining landmark and newer studies. (For how the treatments outlined in these studies affect the OD's practice, see sidebar at right, "The first line of care.")
Landmark studies
- Diabetic Retinopathy Study: The Diabetic Retinopathy Study (DRS) was a randomized, controlled trial whose main goal was to determine whether laser photocoagulation helps prevent severe vision loss (SVL) from proliferative diabetic retinopathy (PDR). SVL was considered if visual acuity (VA) was less than 5/200 at two or more consecutive visits. A secondary objective was to obtain information on the natural history and course of diabetic retinopathy. The study took place from 1972 to 1975, with a follow-up completed in 1979.1 The study reveals that 2-year incidence of SVL was reduced by about 60%, from 16.3% in untreated eyes, to 6.4% in treated eyes. Additionally, the study shows the treatment resulted in loss of VA and constriction of visual field. That said, the researchers say they felt the negative effect of laser photocoagulation in PDR eyes were outweighed by the decreased risk of SVL. In patients with non-profilerative PDR (NPDR), the researchers said they felt that treatment should be deferred, as the risk of SVL at this stage in treated vs untreated patients was not enough to outweigh the risks. 1
- Early Treatment Diabetic Retinopathy Study: The Early Treatment Diabetic Retinopathy Study (ETDRS) study was a National Eye institute-sponsored clinical trial that began in 1979, with results published in 1985. It evaluated, among other items, the role of laser photocoagulation in the management of patients who had NPDR or early proliferative diabetic retinopathy. Its primary question was when, in the course of diabetic retinopathy, is it most effective to initiate photocoagulation?2 The ETDRS study concludes that early photocoagulation reduces the risk of developing SVL and the risk of retinopathy progression. The study suggests that laser photocoagulation is not recommended for eyes that have mild or moderate NPDR, but should be considered when retinopathy is more advanced, and should not be delayed in eyes that have reached the high-risk proliferative stage.2 The DRS and ETDRS studies established pan-retinal photocoagulation (PRP) as the standard of care for PDR for decades to come. The ETDRS also evaluated diabetic macular edema.3 It demonstrates that argon laser treatment was beneficial for patients with clinically significant macular edema (CSME). CSME was defined as retinal thickening involving or threatening the center of the macula, based on stereo contact lens biomicroscopy or stereophotography. At 3-year follow-up among patients with macular edema and NPDR, the rates of moderate vision loss (defined as a loss of 15 letters or more on ETDRS visual acuity chart) was reduced by 50%, from 24% in the deferred treatment group, to 12% in the immediate treatment group. 3,4
Newer studies
- Protocol S: More than three decades after the ETDRS study, Protocol S, published in 2015 by the DRCR.net (Diabetic Retinopathy Clinical Research Network), demonstrates that treatment with anti-VEGF agents was non-inferior to PRP for the treatment of PDR.5 The study shows that at 2 years ranibizumab was found to be non-inferior to PRP with a mean gain of +2.8 letters of acuity compared to 0.2 letters in the PRP group. Additionally, the study found visual field loss for the ranibizumab treatment arm, measured in decibels by Humphrey visual filed analysis, had a mean of -23 decibels lost compared to -422 decibels losts in the PRP arm. Further, the eyes in the ranibizumab treated group had greater reductions in central retinal thickness on OCT, and fewer eyes developed DME during the 2 year study (9% in ranibizumab arm vs 28% in PRP arm). Lastly, rates of vitrectomy in the ranibizumab arm were 4%, compared to 15% in PRP groups.5
- Protocol W: Protocol W, published in 2021, was a prospective study by the DRCR.net designed as a long-term evaluation of aflibercept's ability to prevent PDR and center involved (CI-DME in eyes that had advanced DR.6 The study shows that preventive treatment with aflibercept results in a threefold reduction in the development of CI-DME with vision loss (14.8% in sham vs 4.1% in aflibercept treated group). Treatment was also associated with a nearly two-fold reduction in the development of new onset PDR (33.2% in sham vs 13.5% in the treated group). Further, more eyes in the aflibercept group had a 2-step or more improvement in DR severity compared with the sham group (44.8% vs 13.7%). In contrast, more eyes in the sham group had a 2-step worsening in DR severity compared with eyes in the aflibercept group at two years (12.4% vs 5.2%). Safety profile was unremarkable.
- PANORAMA: Results from the PANORAMA study, published in 2021, which enrolled eyes with moderate to severe and severe NPDR with or without DME, also demonstrated a significantly greater improvement of 2 or more steps in diabetic retinopathy severity vs. the sham. At 52 weeks, 65.2% in the 16-week injection group and 79.9% in the 8-week injection group had a 2-step or better improvement in DR level vs. 15% in the control group. Further, the study demonstrates anti-VEGF treatment reduced the likelihood of developing sight-threatening complications, such as CI-DME or PDR, 16.3% in 16-week group, 18.7 % in 8-week group vs 50.4 % in the control group.7 There were no differences noted in the visual acuity, however, a post hoc analysis of patients with CI-DME demonstrates that more patients in the control group lost 5 letters or more over the duration of the trial.7
- RISE/RIDE & VIVID/VISTA: Other studies, such as the RISE/RIDE and VIVID/VISTA show anti-VEGF injections as having positive results for patients who have CI-DME. The RISE/RIDE phase 3 clinical trials, published in 2012,compared intravitreal injections of 0.3 mg or 0.5 mg of ranibizumab vs. sham in the treatment of DME. The need for grid pattern macular laser was assessed based on protocol specific criteria. It demonstrated that intravitreal ranibizumab benefited both DME, as well as diabetic retinopathy. At 2 years, the sham group required significantly more laser treatments than the ranibizumab groups, 1.8/1.6 laser treatments vs. 0.3 to 0.8 laser treatments. Furthermore, at 2 years, a gain of 15 letters or more was reported in 18.1%/12.3% of patients with sham vs 44.8%/33.6% with 0.3 mg ranibizumab patients and 39.2%/45.7% with 0.5 mg patients.8 The VIVID/VISTA study, published in 2014, saw improvements in patients with CI-DME who received intravitreal aflibercept for DME at every 4 or 8 weeks after a loading dose. A gain of 15 letters or more of acuity was found in 32.4%/41.6% in the 4-week group and 33.3%/31.1% in 8-week group, compared to 9.1%/7.8% in the group that did not receive aflibercept. Patients who received aflibercept in the study were also found to less frequently lose letters of acuity. 9
The changing times
While it is important to acknowledge the significance of these early studies as well as the pioneers who constructed them, we must also realize that the treatment landscape is constantly changing.
With the success of anti-VEGF, most retinal specialists now prefer to combine both PRP laser and injections to balance results with compliance to achieve optimal results.10
Newer treatments in the future may provide additional improvements over current therapies, changing the landscape yet again. In the immortal words of Bob Dylan '"The times they are a-changing." That is certainly true when it comes to the treatment of diabetic eye disease. OM


