With its ability to provide detailed visualization of retinal morphology and pathology, optical coherence tomography (OCT) is an effective imaging tool for diabetic retinopathy (DR). Specifically, it aids in early disease detection, monitoring disease progression, and assessing treatment response via its cross-sectional images that reveal DR’s biomarkers, illustrated here in this pictorial presentation.
MICROANEURYSMS
OCT can aid in the identification of the earliest sign of DR: microaneurysms (MAs). They appear as small, distinct, oval-shaped, hyperreflective, walled structures, and are associated with microvascular damage. Specifically, the structural weakness of the vessel wall of MAs causes fluid leakage, resulting in edema. Edema on cross-sectional OCT can be seen as localized hyporeflective cystic-type spaces or diffused areas of retinal thickening, which in the macular region is called macular edema. Chronic edema then results in the accumulation of hard exudates, which is seen as intense hyperreflective deposits with varying amount and intensity within intraretinal layers.
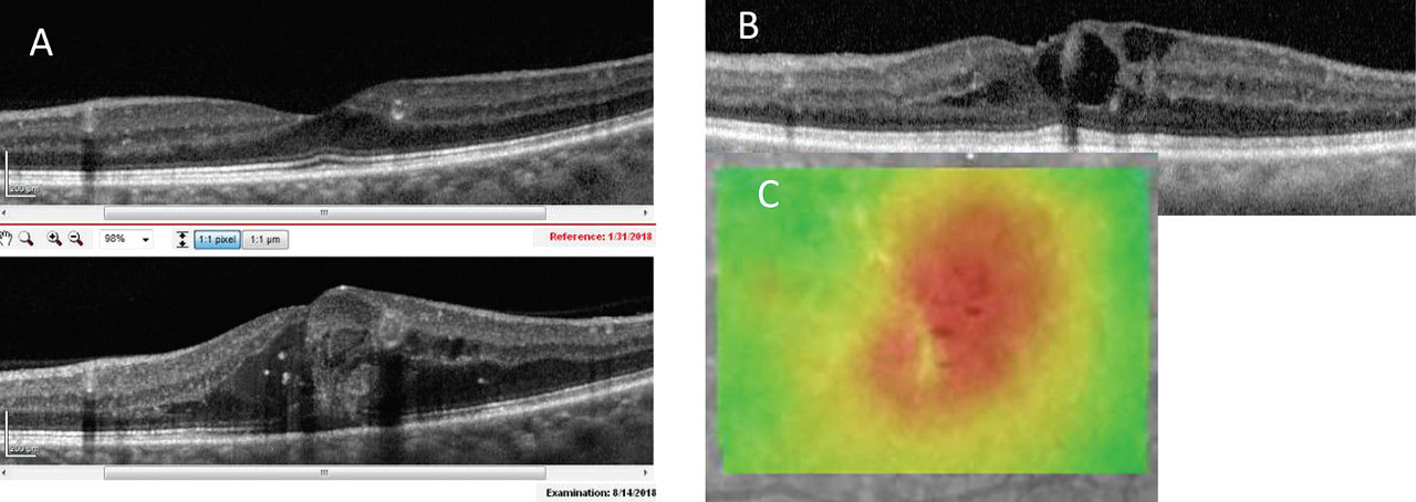
MACULAR EDEMA
Note the progression of the MA (A) to macular edema (bottom) shown in this structural scan. Center-involved macular edema is seen in the cross-section (B) vs. topography (C). OCT’s imaging of macular edema has resulted in a change of terminology from “clinically significant macular edema (CSME)” to “center-involved” vs. “non-center involved” diabetic macular edema, which includes the central subfield zone. This is defined as the 1000 µm diameter from the foveal center.
INTRARETINAL HEMORRRHAGES
Another sequelae of MA formation is progression to intraretinal hemorrhages (IRH), often referred to as “dot-blot” hemorrhages. An intraretinal blot hemorrhage has developed in the foveal area, seen as a large hyperreflective mass; the resolution can be seen to the right. On OCT cross section, IRH can be seen as hyperreflective foci that have varying opacification. The closure of MAs, capillaries, and arterioles results in ischemic changes usually seen as thinning of the inner retinal structures, such as the retinal nerve fiber layer (RNFL) and ganglion cell layer (GCL). This can present in different scenarios. One mechanism is the acute ischemic events clinically seen as localized areas of retinal whitening termed “cotton-wool spots” (CWS). An acute phase of cotton-wool spot is seen resulting in a localized area of retinal whitening and hyperreflectance and thickening of the inner retinal layers on OCT. On OCT cross section, CWS are seen as localized areas of inner retinal thickening and hyperreflectance. Once they disappear clinically, the area noted before demonstrates loss of RNFL and GCL. (The average timeline for this process is a separate management discussion.) Chronic ischemic changes can be seen. Particularly in the macular edema, inner retina atrophy is evident on the cross section. Areas of retinal thinning can also be seen on thickness maps.
INTRARETINAL LAYER DISORGANIZATION
Capillary nonperfusion results in retinal disorganization. Retinal neovascularization, a consequence, can be seen on OCT. The disorganization of intraretinal layers is another biomarker for the destruction caused by diabetes. The cumulative effect of the above is the genesis of neovascularization (NV). The clinical finding in neovascular diabetes, known as proliferative diabetic retinopathy (PDR), include the presence of NV noted on the iris (NVI), optic nerve or neovascularization of the disc (NVD) or retina, termed neovascularization elsewhere (NVE). The consequences of NV include pre-retinal and vitreous hemorrhages, which, at times, are easier to detect clinically than NV itself.
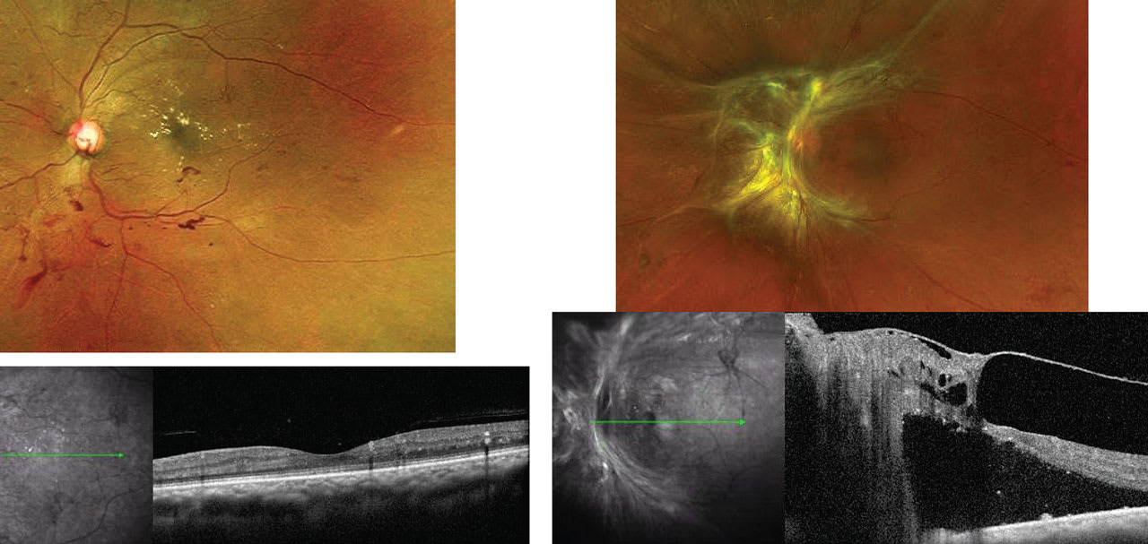
PRERETINAL HEMORRHAGE
Note the two different presentations of preretinal hemorrhage (PRH) associated with proliferative diabetic retinopathy: PRH alter the reflectance of the vitreoretinal interface and cause obscuration of underlying retinal structures, and often include changes in the PVC.
EPIRETINAL MEMBRANES/TRACTIONAL RETINAL DETACHMENTS
In addition to vitreous hemorrhages, which may be visible near the retinal surface, other possible findings in the vitreoretinal interface with proliferative DR disease include epiretinal membranes and/or tractional retinal detachments.
SERIAL OCT IMAGING
Serial OCT imaging aids in the objective assessment of anatomical changes, such as resolution of macular edema and reduction in retinal thickness, guiding treatment decisions and optimizing patient outcomes. For these reasons, it has become a cornerstone technology in modern eye care practices.
Bibliography
1. Lang GE. Optical coherence tomography findings in diabetic retinopathy. Dev Ophthalmol. 2007;39:31-47. doi: 10.1159/000098498.
2. Yang Z, Tan TE, Shao Y, Wong TY, Li X. Classification of diabetic retinopathy: Past, present and future. Front Endocrinol (Lausanne). 2022;13:1079217. doi: 10.3389/fendo.2022.1079217.
3. Browning DJ, Glassman AR, Aiello LP, et al. Diabetic Retinopathy Clinical Research Network. Optical coherence tomography measurements and analysis methods in optical coherence tomography studies of diabetic macular edema. Ophthalmology. 2008 ;115(8):1366-71, 1371.e1. doi: 10.1016/j.ophtha.2007.12.004.
4. Feucht N, Zapp D, Reznicek L, Lohmann CP, Maier M, Mayer CS. Multimodal imaging in acute retinal ischemia: spectral domain OCT, OCT-angiography and fundus autofluorescence. Int J Ophthalmol. 2018;11(9):1521-1527. doi: 10.18240/ijo.2018.09.15.
5. Vaz-Pereira S, Morais-Sarmento T, Engelbert M. Update on Optical Coherence Tomography and Optical Coherence Tomography Angiography Imaging in Proliferative Diabetic Retinopathy. Diagnostics (Basel). 2021;11(10):1869. doi: 10.3390/diagnostics11101869.


