Except in cases of trauma, most acquired ocular motor palsies of cranial nerves III, IV, or VI signal an underlying systemic or neurologic disorder.1,2 In fact, they may reflect longstanding microvascular disease, such as hypertension, or be the manifestation of an undiagnosed, potentially life-threatening condition, such as an aneurysm. As a result, it is imperative that optometrists know how to both diagnose and manage ocular motor palsies. This article discusses the specific action steps to accomplish each in an adult population.
Diagnosis
• Distinguish binocular diplopia from monocular diplopia. Diplopia is the most common presenting symptom of an ocular motor palsy, and distinguishing binocular from monocular diplopia is the first diagnostic step.3 To achieve this, ask the patient whether their diplopia disappears when either eye is covered. Remember: monocular diplopia will be eliminated only when the affected eye is occluded—a distinction that can be overlooked. If monocular diplopia is suspected, common causes such as refractive error, lenticular pathology, and maculopathies should be ruled out.1,3
• Determine when the diplopia occurs. If a patient is symptomatic of horizontal diplopia only with near activities and no pattern of a cranial nerve palsy is observed, this may point to convergence or accommodative dysfunction rather than a cranial nerve dysfunction.
• Perform a comprehensive assessment of versions, ductions, and ocular alignment. Importantly, even when motility appears full, the alternate cover test or the Maddox rod test to test ocular alignment remain essential. This is because subtle paresis can be missed with versions alone. Distance testing of ocular alignment is generally more sensitive to small horizontal deviations, particularly in cranial nerve VI paresis. To preclude induced prism or frame interference, I recommend performing measurements of deviation outside the phoropter and without spectacle correction, respectively.
• Use a cover test or the Maddox rod test in the different positions of gaze. Doing this enables you to accurately assess for comitance. If the deviation is incomitant, the next step is to determine whether it matches the pattern of an isolated cranial nerve palsy.3 To find a pattern, the magnitudes of the deviation should be recorded in primary position, lateral gazes, and vertical gazes. Additionally, if a vertical deviation is present, measurements with the patient tilting their head right and left are important to discern if there is a torsional component possibly indicative of a cranial nerve IV palsy or skew deviation. When performing the cover test in various gazes, have the patient move their head while their eyes stay fixated on a target straight ahead (Figure 1). Most ocular motor palsies can be identified with this limited set of head positions, but if the deviation does not fit the pattern of a single cranial nerve palsy, more extensive testing—such as having the patient look up and to the right, up and to the left, down and to the right and down and to the left—may be required.
Isolated cranial nerve III, IV, or VI palsies each produce characteristic patterns of deviation.
Cranial nerve III palsy commonly presents as a hypotropia in primary gaze that reverses between upgaze and downgaze, along with increasing exotropia in contralateral gaze. For example, a left cranial nerve III palsy exhibits a right hyper in upgaze, left hyper in downgaze, and exotropia in right gaze. Ptosis, anisocoria, and pain may also be present. Anisocoria with a larger, poorly reactive pupil in bright light should raise immediate concern for compressive etiologies, such as an aneurysm. A partial cranial nerve palsy may not fully follow this pattern, but it is still just as concerning for an aneurysm.
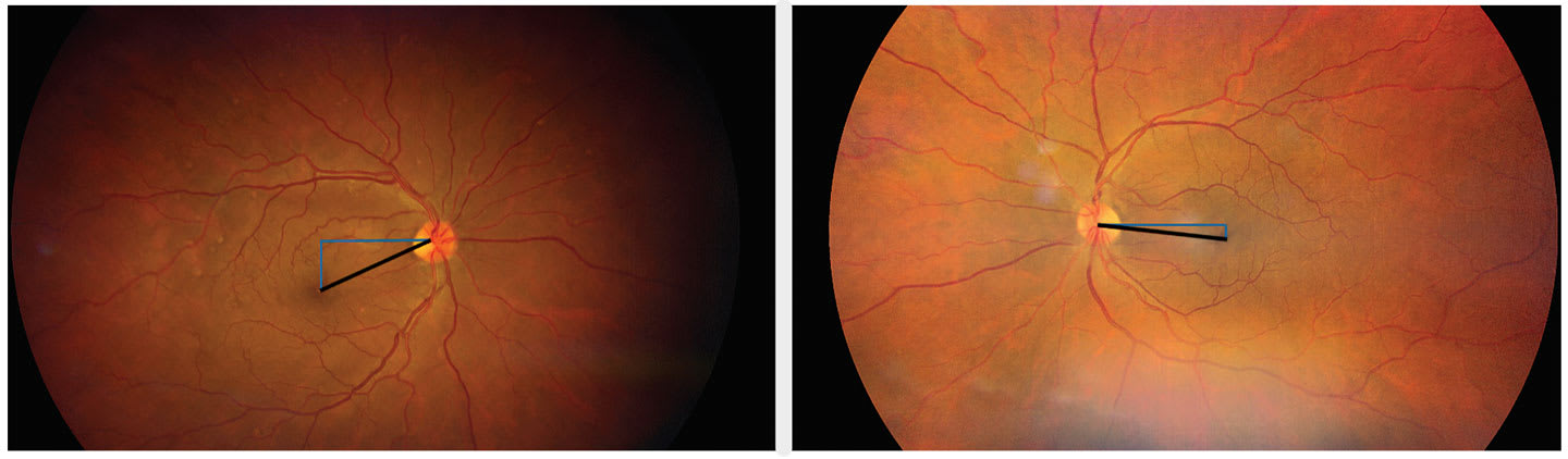
Cranial nerve IV palsy typically presents as a hypertropia in primary position that increases in contralateral gaze and with ipsilateral head tilt. Excyclotorsion of the hypertropic eye, measurable by the Maddox rod test or observed via fundus photography, strengthens diagnostic confidence for this condition (Figure 2). Most cranial nerve IV palsies are congenital. In the case of an acquired palsy, the most common etiology is trauma followed by microvascular.4
Cranial nerve VI palsy presents as an esotropia in primary gaze that worsens on lateral gaze toward the affected side. These patients often describe increased diplopia at distance and horizontal blur at near. This condition is commonly of microvascular etiology associated with hypertension, diabetes, hyperlipidemia, or smoking. A study by Kim et al found neoplasms and vascular anomalies are also prominent causes at 14.3% and 10.2%, respectively.5
A few tips for performing the alternate cover test:
- When deviations include both horizontal and vertical components, neutralize the larger magnitude first, then add prism over the other eye to neutralize the secondary component (Figure 3).
- Increase prism over the paretic eye until the target is in view to assist with fixation before measurements are taken in cases of substantial palsies where the paretic eye may fail to locate the target. If the deviation pattern does not clearly match cranial nerve palsy III, IV, or VI involvement, consider broader etiologies, including myasthenia gravis, skew deviation, thyroid eye disease, heavy or sagging eye syndromes, decompensated phoria, or multiple cranial nerve involvement. (Table 1 includes additional clinical findings to look for in considering one of these alternative diagnoses.)
• Assess associated neurologic function. Because cranial nerve palsies III, IV, and VI travel in proximity to other cranial nerves in predictable anatomic pathways, this next step can help narrow the differential diagnosis among them and drive the level of urgency for systemic workup.
To go about this, test cranial nerve II (the optic nerve) because reduced visual acuity, color vision deficits, visual field loss, or a relative afferent pupillary defect may indicate involvement of the orbital apex or sellar region where the optic nerve lies in proximity to cranial nerves III, IV, and VI.
Now, evaluate the sensory division of cranial nerve V (the trigeminal nerve) by using a tissue to test corneal and facial sensitivity. Ophthalmic, V1, and maxillary, V2, branches of cranial nerve V travel in proximity to cranial nerves III, IV, and VI in the cavernous sinus. A decrease in sensation of the forehead, cornea, or upper cheek on the same side as an ocular motor palsy may indicate the lesion is in the cavernous sinus, and dedicated neuroimaging of the cavernous sinus is warranted.
If there is a cranial nerve VI palsy, next assess cranial nerve VII by testing muscles of facial expression (see Figure 4). Cranial nerve VI shares a close anatomic relationship to cranial nerve VII in the low pons. If there is weakness of facial muscles on the same side as an abducens deficit then neuroimaging with special attention to the pons is warranted.
Similarly, in the presence of a cranial nerve VI palsy, assessment of cranial nerve VIII (the vestibulocochlear nerve) via hearing assessment and inquiry about vertigo or imbalance is also indicated. Cranial nerves VI and VIII both exit the brainstem at the pontomedullary junction. Deficits in the function of both cranial nerves VI and VIII would warrant neuroimaging of the cerebellopontine angle.
Additional findings, such as gaze palsies, internuclear ophthalmoplegia, limb weakness, or dysarthria should heighten concern for anomalies in brainstem processes.
Also, simultaneous involvement of multiple ocular motor cranial nerves typically suggests cavernous sinus disease, orbital apex syndrome, or leptomeningeal pathology within the subarachnoid space.
Proptosis may indicate thyroid eye disease, inflammation, or an orbital mass.
Neuromuscular junction processes, such as myasthenia gravis, may mimic nearly any cranial nerve palsy pattern, have an accompanying ptosis, and often fluctuate throughout the day. If myasthenia gravis is suspected, fatigue testing during the exam by having the patient complete 2 minutes of sustained upgaze or repeat 100 saccadic movements, followed by observation of a worsening ptosis or diplopia, can help confirm a diagnosis of myasthenia gravis.
Management
• Consider neuroimaging. The decision to obtain neuroimaging is one of the more debated aspects of managing ocular motor palsies.6 Most cases require immediate imaging, but some cases in the adult population may be monitored:
Any cranial nerve III palsy that is incomplete, pupil-involving, or painful demands urgent imaging to rule out an aneurysm. Therefore, these patients require immediate magnetic resonance angiography or computed tomography angiography of the intracranial circulation, along with magnetic resonance imaging of the brain with and without contrast.7,8 If neuroimaging is not immediately completed for a nonpupil involved complete cranial nerve III palsy, that patient should still be monitored closely over the next 5 to 7 days for evolving pupil involvement. Many practitioners opt to proceed with neuroimaging in all cranial nerve III palsy presentations.
Patients older than age 50 who have systemic symptoms that are suggestive of giant cell arteritis, particularly those patients presenting with new headache, jaw claudication, scalp tenderness, fever, fatigue, unexplained weight loss, or polymyalgia rheumatica symptoms, also require emergent evaluation.7,8 This is because these patients risk vision loss, and systemic complications, such as an aortic aneurysm.
Additionally, all nonisolated cranial neuropathies and those accompanied by additional cranial nerve deficits, neurologic symptoms, or rapidly worsening presentation, warrant urgent imaging. This is because they can portend a tumor or mass lesion, infection or inflammation, vascular lesions, or rapidly progressive neurologic disease.
For isolated ocular motor palsies in adults over 50 years old, a microvascular ischemic etiology secondary to hypertension, diabetes, hypercholesterolemia, or smoking is common.1 The good news is, these etiologies typically improve within 4 to 6 weeks and resolve fully within several months, although some take up to 6 months. That said, recent evidence suggests that vascular risk factors are not reliably exclusive to microvascular disease; in fact, a notable proportion of nonmicrovascular palsies, such as those due to neoplasm, occur in patients who have microvascular risk profiles. Consequently, many clinicians now favor imaging such patients at their initial presentation, even in otherwise classic cases.6,9
Do not assume an isolated ocular motor palsy in patients younger than age 50 is microvascular, however. Imaging is generally recommended unless a clear alternative cause, such as trauma, is identified.6
Observation without immediate imaging may still be reasonable in select patients over 50 years old who have strong vascular risk factors, provided the pupil is unaffected and no atypical features are present. Lack of improvement at 6 weeks, development of new symptoms, or signs of aberrant regeneration in a cranial nerve III palsy, should prompt neuroimaging, even if prior imaging was normal.
Unless a clear non-neurological etiology is found, referral to neurology or neuro-ophthalmology should be part of the management process.
• Relieve diplopia and improve ocular comfort in microvascular palsies expected to resolve. Fresnel prism offers flexibility as alignment changes over time. If fusion is not possible or the prism is poorly tolerated, occlusion of one eye remains an option. Practical occlusion options include: Bangerter filter, occlusive tape, an occlusion contact lens, or patch.10
When prescribing prism, place the full refractive correction in a trial frame and gradually add prism until fusion is achieved. Doing so allows the patient to experience real-world viewing conditions.
For combined horizontal and vertical deviations, introduce vertical prism first until the images are side-by-side. Then add horizontal prism over the opposite eye until fusion. Persistent torsional deviations pose a greater challenge because prism cannot correct torsion.
For nonmicrovascular palsies, diplopia may persist long-term. In these cases, the deviation generally stabilizes after a few months and ground-in prism can be prescribed. Persistent misalignment that fails to recover within 12 months, or stable chronic deviation that causes significant functional impairment may be appropriate for strabismus surgery referral.11
Careful Evaluation
Diagnosing ocular motor palsies requires careful evaluation of diplopia, precise measurement of deviations across gaze positions, and thoughtful testing of neighboring cranial nerves. Localization helps determine urgency, and timely imaging is essential to rule out life-threatening disease. While some ocular motor palsies, particularly in adults over 50 with vascular risk factors, are microvascular and self-limiting, others signal serious neurologic pathology and should prompt urgent neuroimaging or immediate referral to an emergency room or neurologist if your state does not allow you to order the imaging yourself. Optometrists play a pivotal role in identifying these cases early, initiating appropriate systemic evaluation, and managing the functional impact of diplopia during recovery. OM
References
- Kim HJ, Kim HJ, Choi JY, Yang HK, Hwang JM, Kim JS. Diplopia: characteristics and etiologic distribution in a referral-based university hospital. J Neurol. 2023;270(2):1067-1075. doi:10.1007/s00415-022-11471-7
- Glisson CC. Approach to diplopia. Continuum (Minneap Minn). 2019;25(5):1362-1375. doi:10.1212/CON.0000000000000786
- Dinkin M. Diagnostic approach to diplopia. Continuum (Minneap Minn). 2014;20(4 Neuro-ophthalmology):942-65. doi: 10.1212/01.CON.0000453310.52390.58
- Bagheri A, Fallahi MR, Abrishami M, Salour H, Aletaha M. Clinical features and outcomes of treatment for fourth nerve palsy. J Ophthalmic Vis Res. 2010 Jan;5(1):27-31
- Kim HJ, Kim HJ, Choi JY, Yang HK, Hwang JM, Kim JS. Etiologic distribution of isolated abducens nerve palsy: Analysis of 807 patients and literature review. Eur J Neurol. 2023;30(8):2471-2480. doi:10.1111/ene.15828
- Tamhankar MA, Biousse V, Ying GS, et al. Isolated third, fourth, and sixth cranial nerve palsies from presumed microvascular versus other causes: a prospective study. Ophthalmology. 2013;120(11):2264-2269. doi:10.1016/j.ophtha.2013.04.009
- Cornblath WT. Diplopia due to ocular motor cranial neuropathies. Continuum (Minneap Minn). 2014;20(4 Neuro-ophthalmology):966-980. doi:10.1212/01.CON.0000453309.44766.b4
- Jain S. Diplopia: diagnosis and management. Clin Med (Lond). 2022;22(2):104-106. doi:10.7861/clinmed.2022-0045
- Park KA, Oh SY, Min JH, Kim BJ, Kim Y. Cause of acquired onset of diplopia due to isolated third, fourth, and sixth cranial nerve palsies in patients aged 20 to 50 years in Korea: A high resolution magnetic resonance imaging study. J Neurol Sci. 2019;407:116546. doi:10.1016/j.jns.2019.116546
- Fraine L. Nonsurgical management of diplopia. Am Orthopt J. 2012;62:13-18. doi:10.3368/aoj.62.1.13
- Iliescu DA, Timaru CM, Alexe N, et al. Management of diplopia. Rom J Ophthalmol. 2017;61(3):166-170. doi:10.22336/rjo.2017.31


