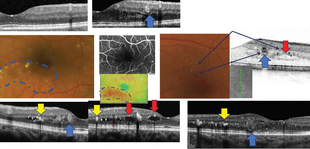
PRACTICE TIP: Use OCT to aid in early identification of diabetic retinopathy
Optical coherence tomography (OCT) can be very helpful in identifying the earliest signs of diabetic retinopathy (DR), write Drs. Roya Attar and Mohammad Rafieetary. Using OCT, optometrists can view microaneurysms (MAs), which appear as small distinct, oval-shaped, hyperreflective, walled structures, and are associated with microvascular damage. To learn more about identifying signs of DR with OCT, read their full article here.
RESEARCH NOTES:
- Clearside Biomedical announced new guidelines representing best practices for injection into the suprachoroidal space (SCS) have been published by Retina, the Journal of Retinal and Vitreous Diseases. The publication, entitled, “Suprachoroidal Space Injection Technique: Expert Panel Guidance,” was developed based on current published evidence and clinical experience. The panel established consensus on the rationale for SCS injection, including potential benefits relative to other intraocular delivery methods, and current best practices in patient preparation, pre- and peri-injection management, SCS specific injection techniques, and post-injection management and follow-up. More information can be found here.
- JAMA Ophthalmology published a recent article, “Myths in Myopia in Epidemiology and Treatment,” which took on common beliefs about myopia epidemiology and control that are not evidence based. They include: Substantial myopia only affects Asian populations: The article sites recent studies that have reported an increase in prevalence of myopia in the United States and Europe; school-aged myopia is not dangerous: The article sites at least one study that has found 54% of children with myopia onset by age 7 or 8 years developed high myopia. The full article can be found on JAMA Ophthalmology’s website.
- The Vision Council released two new reports offering a comprehensive view of the optical industry for the first quarter of 2024. The Market inSights Q1 2024 and Consumer inSights Q1 2024 reports feature market data and analysis estimating the performance of the optical industry. Consumer survey findings show increased in-person purchases for eyewear and contact lenses in Q1, with overall eyewear and contact lens purchases reaching their highest rate in the past two years. The online purchase rate for glasses dropped to 14 percent after holding steady at 16 percent through all of 2023. The reports can be downloaded here, and are free for Vision Council members.
- VSP Vision released research conducted by Workplace Intelligence that surveyed 800 human resource benefit leaders and 800 full-time employees on their eye health. Of those surveyed who were members of Gen Z, 82% say they are working longer hours, including nights and weekends, and 54% say their eye health is worsening as a result. Other key findings include employees getting more than 96 hours of screen time a week (with more than a third coming from work). The full report can be requested from VSP vision here.
Biocon Biologics obtains FDA approval for Yesafili
Biocon Biologics announced the FDA approval of Yesafili (aflibercept-jbvf), an interchangeable biosimilar aflibercept. YESAFILI is a vascular endothelial growth factor inhibitor intended for the treatment of neovascular age-related macular degeneration, visual impairment due to macular edema secondary to retinal vein occlusion (branch RVO or central RVO), visual impairment due to diabetic macular edema and visual impairment due to myopic choroidal neovascularization (myopic CNV). More information can be found here.
Foundation Fighting Blindness awards grants
Foundation Fighting Blindness announced the recipients of its first grants for its PRPH2 and Associated Retinal Diseases (PARD) Program. Following an international call for proposals, the Foundation awarded nearly $1 million to two researchers, Andrew Goldberg, PhD, of Oakland University, and Yoshikazu Imanishi, PhD, of Indiana University. The grants will support research projects aimed at understanding and treating PRPH2-related retinal diseases. More information can be found here.
HealthyCell launches eye health MicroGel supplement
HealthyCell announced the launch of absorbable gel supplements, MicroGel. MicroGel is formulated with carotenoids and other micronutrients, including lutein, zeaxanthin, astaxanthin, lycopene, vitamin A, and vitamin E. These nutrients promote visual acuity, protect against oxidative stress, and support overall retinal health, according to a HealthyCell press release. The gel can be taken on its own or added to a drink. For more information, click here.
Latinos en Optometry launches redesigned website
Latinos en Optometry, a non-profit association dedicated to gaining a broader representation of Latinos and Spanish-speaking professionals within the optometry and larger eye care professional community, has launched its redesigned website and new domain name, www.latinosenoptometry.org. The newly designed site features information and resources for prospective and current optometry students, practicing professionals, and patients/caregivers. Information on membership, can also be found on the website.
Omg! Optical Marketing and Fort Capital Resources announce strategic partnership
A strategic partnership has been launched between Omg! Optical Marketing Group, which specializes in optical practice design, and commercial financing solutions company Fort Capital Resources. The alliance is intended to leverage both groups’ specialties to enable eye care professionals to more easily upgrade their practices. More details can be found here.
Prevent Blindness offers new Stargardt Disease resources
Coinciding with May’s IRD Genetic Testing Awareness Month, Prevent Blindness now offers a dedicated webpage, fact sheets, a new Focus on Eye Health Expert Series episode, and social media graphics to better educate the public about Stargardt Disease. The effort is supported by funding from Alkeus Pharmaceuticals.
In other Prevent Blindness news, the National Center for Children’s Vision and Eye Health at Prevent Blindness has issued a call for nominations for the “Bonnie Strickland Champion for Children’s Vision Award.” The award recognizes significant efforts by an individual or group of individuals to improve public health approaches for children’s vision and eye health. The deadline for submission is July 1, 2024, at noon ET. Details can be found here.
Upneeq receives Shape Skin Award from Shape magazine
Upneeq (oxymetazoline hydrochloride ophthalmic solution) 0.1%, from RVL Pharmaceuticals, has been selected as the 2024 Shape Skin Award by Shape Magazine, specifically the Best for Lift in the professional category. It is the third Shape award for the product, which was also named as a Best Professional Grade treatment by editors in 2022 and Best In-Office treatment in 2023.


